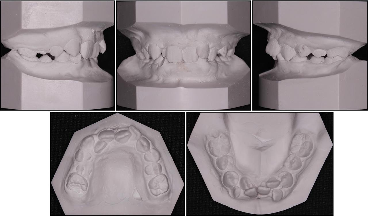
Figure 1

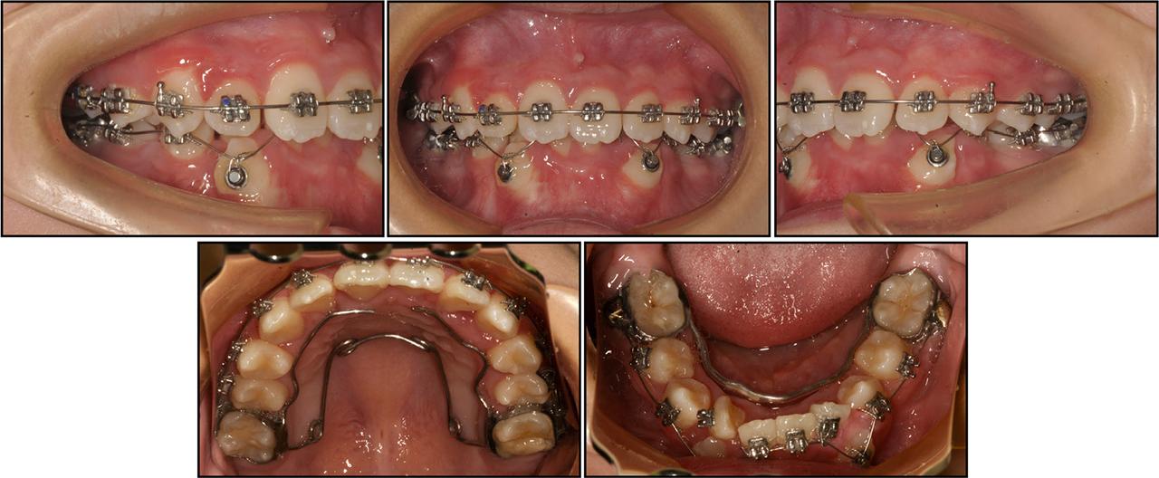
Figure 2

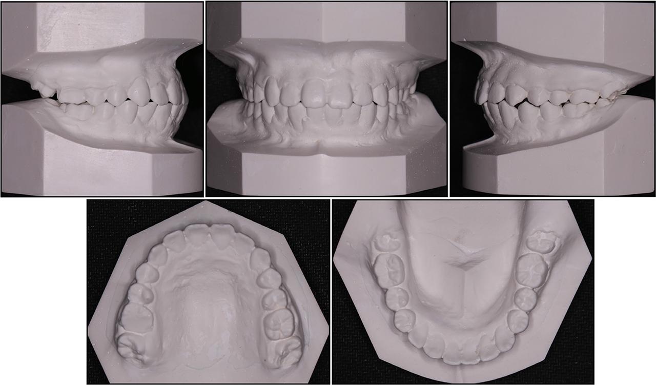
Figure 3

Figure 4

Figure 5

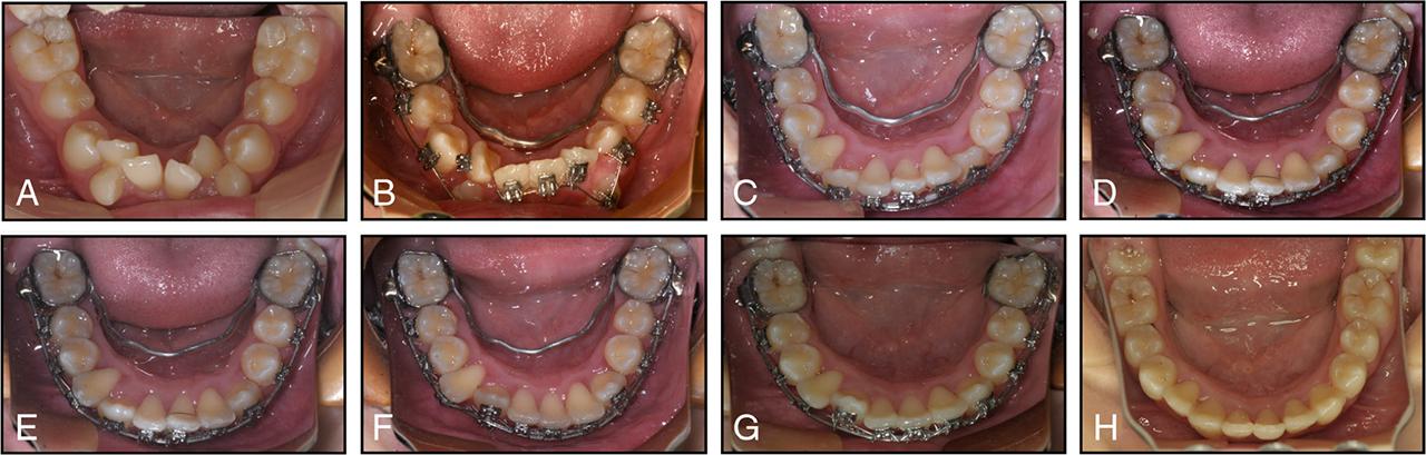
Figure 6

Figure 7

Figure 8

Figure 9

Figure 10

Figure 11

Figure 12

Cephalometric analyses before and after treatment_
| Measurement | Chinese norm | Before treatment | After treatment |
|---|---|---|---|
| SNA (°) | 82.3 ± 3.5 | 79.9 | 79.0 |
| SNB (°) | 78.9 ± 3.5 | 76.0 | 77.0 |
| ANB (°) | 3.4 ± 1.8 | 3.9 | 2.9 |
| Wits (mm) | 1.0 ± 1.3 | −1.0 | 0.6 |
| SN-MP (°) | 32.8 ± 4.2 | 30.8 | 30.9 |
| Y-axis (°) | 64.7 ± 3.3 | 69.7 | 69.6 |
| FMA (°) | 31.3 ± 5.0 | 24.7 | 24.1 |
| ANS-Me (mm) | 56.8 ± 3.4 | 52.3 | 54.0 |
| S-Go (mm) | 68.8 ± 5.7 | 70.6 | 75.4 |
| ANS-Me/N-Me(%) | 53.3 ± 1.8 | 52.5 | 51.7 |
| U1 to SN (°) | 104.6 ± 6.0 | 80.7 | 106.4 |
| U1 to NA (°) | 24.7 ± 5.2 | 0.8 | 27.4 |
| Ul to NA (mm) | 6.2 ± 1.9 | −3.1 | 6.3 |
| Ll to NB (°) | 31.0 ± 6.6 | 12.2 | 40.5 |
| Ll to NB (mm) | 7.8 ± 2.4 | −2.1 | 6.8 |
| Ll to MP (°) | 96.3 ± 5.8 | 85.4 | 112.6 |
| U1/L1(°) | 120.3 ± 10.1 | 163.1 | 110.0 |
| Upper lip (mm) | 2.5 ± 1.5 | −5.0 | 0.5 |
| Lower lip (mm) | 2.6 ± 1.5 | −6.9 | −0.5 |