Have a personal or library account? Click to login
Edentulous ridge space closure after bone augmentation using different graft materials: A report of two cases Cover

Edentulous ridge space closure after bone augmentation using different graft materials: A report of two cases

Open Access
|Jan 2022

Full Article

Introduction

Bony alveolar defects in adults pose a challenge for orthodontists when closing a mandibular first molar extraction site. Typically, for several years after tooth loss, the alveolar ridge undergoes remodelling resorption if timely augmentation is not performed to preserve the bone.1 The movement of mandibular permanent molars is more difficult than those in the maxilla because of a thicker mandibular cortical plate, coarser trabecular bone, and poorer circulation. Tooth movement is also more difficult in adults than in adolescents because of reduced cell activity, higher bone density, a narrower and atrophic edentulous ridge, and possible periodontal tissue involvement.2 The treatment plan for an atrophic ridge should consider re-opening of the missing molar space to allow restoration by prosthetic means. However, although a longer treatment time and a compromised periodontal state might result, molar protraction to close the space should be considered, especially when the third molars are present.

In this circumstance, tooth movement in conjunction with periodontal surgery and appropriate orthodontic mechanics could minimise the risk of future bone loss, accelerate tooth movement, and shorten the overall treatment time.1,3,4 A previous report indicated that successful tooth movement could be achieved into an edentulous space with only minor disruption to the periodontal tissues. An increase in the buccolingual width of the edentulous ridge was also noted following tooth movement into the area.5 However, the repositioned teeth were premolars which had a narrower root dimension. In moving a molar with its wider roots, surgical augmentation of the edentulous ridge should be considered, as well as different sources of bone grafts and guided tissue regeneration techniques to re-establish adequate bone volume.6

The present article describes two interdisciplinary cases of adult patients who had missing mandibular first molars, periodontal issues, and aesthetic concerns that required orthodontic treatment. Alternative bone augmentation techniques were used to correct the severe bony defects and reconstruct the alveolar ridge prior to orthodontic space closure.

Case 1

A 43-year old, healthy, male presented with a convex profile and a retrusive chin which caused mentalis strain on lip closure. Relative to the facial midline, the upper dental midline had shifted to the right by 2 mm. The lower dental midline had shifted 2 mm to the left in comparison to the upper dental midline. Both upper and lower lips were protrusive relative to the E-line. The overjet was 6 mm and overbite was −3 mm. The upper arch was crowded by 13mm. Both of the lower first permanent molars were missing and the edentulous ridges were atrophic and narrowed. The lower right second and third molars presented severe mesial tilting and the lower right edentulous space mesial to the second molar measured 4 mm at the level of lower third of the crown. The buccolingual width of the atrophic bone was less than 4 mm. The buccal segment bilaterally exhibited a Class II canine relationship (Fig. 1).

Figure 1

Case 1: (A) A 43-year-old male patient with skeletal Class II relationship, hyperdivergent long-face pattern, retrognathic chin, and lip protrusion. Missing right and left mandibular first molars with an atrophic ridge. (B) Bilateral zygomatic mini-screws were inserted for anterior retraction and posterior intrusion. Space closure of the right mandibular first molar area, and uprighting of the right mandibular second and third molars after PAOO. (C) Patient after 3 years of treatment. (D) Patient 1 year 11 months after debonding.

The treatment goals were: (1) to improve the protrusive facial appearance through retraction of the upper and lower anterior teeth, (2) reduce the lower anterior facial height and autorotate the mandible to strengthen the chin projection, (3) correct the dental midlines, (4) close the remaining lower right edentulous space and plan future 35 × 37 bridge fabrication for the lower left area, (5) achieve bilateral Class I canine relationships.

The treatment plan involved extracting the upper second premolars, closing the lower right first molar extraction site and distalising the lower anterior teeth to resolve the space problem and lip protrusion. Two mini-screws were inserted into the infrazygomatic crest to support anterior retraction and vertical control of the posterior teeth (Fig. 1).

Eleven months after the start of orthodontic treatment, the lower right mandibular edentulous ridge was expanded via periodontally accelerated osteogenic orthodontics (PAOO) and freeze-dried bone allografts (FDBA) grafted to remove the alveolar ridge barrier and enable space closure. An immediate orthodontic force was applied to the teeth. The mandibular right molar was uprighted using an omega loop incorporating a tip-back bend and an uprighting spring (Fig. 2).

Figure 2

In Case 1, PAOO was performed 1 year after the start of orthodontic treatment. (A) Intraoperative photos. The surgical cuts created vertical grooves and a circular corticotomy was performed with high speed piezoelectric tools to join the vertical cuts. Selective medullary penetration was performed to enhance bleeding. Later, freeze-dried bone allografts were placed in the areas that had undergone corticotomy to increase alveolar bone thickness. (B) After the PAOO. (C) One year and 10 months after PAOO.

The total treatment duration was 3 years. The dentoalveolar protrusion was resolved and a stable occlusion was established. Lingual fixed retainers were bonded in both arches and removable wrap-around retainers were inserted to prevent space reopening. Panoramic radiography demonstrated that space closure through the mandibular right atrophic ridge had been successfully achieved and root parallelism was acceptable. No obvious root resorption was noted and the alveolar bone level at the mesial site of the mandibular right second molar had not noticeably decreased compared to the initial level (Fig. 1). A cone-beam computed tomographic scan (CBCT) showed no areas of bone dehiscence nor fenestration of the mandibular right second molar (Fig. 3A). Despite the mandibular right second molar having no mobility or discomfort, the intraoral photos showed minor gingival recession.

Figure 3

Post-treatment CBCT: (A) In Case 1, the mandibular right second premolar had minor buccal dehiscences. However, the mandibular right second molar had no areas of bone dehiscence/fenestration. (B) In Case 2, the mandibular left second premolar had no areas of bone dehiscence/fenestration and had favourable alveolar continuity over the mandibular left protracted molars in the axial direction. However, thin bone covering of the buccal surface was noted in the coronal section and small root resorption lacunae were observed in the mesial aspect of the root surface in the molar sagittal view.

A cephalometric analysis revealed that an anterior open bite was corrected by the intrusion of the maxillary molars and extrusion of the maxillary anterior teeth. The lower right space was closed by molar uprighting and premolar distalisation. The patient's profile improved through increased chin prominence. The details of the cephalometric analysis are presented in Table I.

Table I

Pre-treatment and post-treatment cephalometric measurements.

MeasurementNormCase 1Case 2

InitialPost-treatmentInitialPost-treatment
SNA81.5° ± 3.585.585.582.982.9

SNB77.7° ± 3.278.57983.683.2

ANB4.0° ± 1.876.5−0.7−0.3

SN-MP33.0° ± 1.843.54232.833.2

U1-SN108.2° ± 5.4112.5101114.7121.3

L1-MP93.7° ± 6.392.591.588.485.1

E-Line
  Upper2 ± 2.0 mm6.53.5−2−1.1
  Lower1 ± 2.0 mm65.53.21.2
Case 2

A 37-year-old, healthy, female presented with a concave facial profile, a protrusive lower lip and insufficient tooth display. Relative to the facial midline, the upper dental midline had deviated 1.5 mm to the right. While the lower lip was protrusive, the upper lip was retrusive, relative to the E-line. The overjet was −2.7 mm and overbite was 2.7 mm. In the frontal view, the lower dental midline had shifted to the right by 2 mm in comparison to the upper dental midline. The upper arch had 10 mm of crowding. The maxillary left canine was buccally displaced and the lower first molars had been missing for several years resulting in atrophic alveolar ridges. The mandibular left and right posterior areas had 9- and 2-mm-wide spaces, respectively. The edentulous ridge in the occlusal third of the mandibular left first molar area was only 3 mm in width. The patient exhibited a Class III malocclusion with an anterior crossbite and an accompanying functional shift (Fig. 4).

Figure 4

Case 2: (A) 37-year-old female patient with a skeletal Class III relationship, hypodivergent face pattern, anterior crossbite, and insufficient tooth display. Missing bilateral mandibular first molars with an atrophic ridge. (B) Space closure of the mandibular first molar areas, and bilateral uprighting of the mandibular second and third molars after GBR with an autogenous bone block (C) Patient after 28 months of treatment. (D) One year follow up records showed stable results without space re-opening.

Because the patient declined the option of orthognathic surgery, the treatment goals were therefore, (1) to improve the Class III concave appearance by proclining the upper incisors and to reduce the chin projection by an increase in lower anterior facial height via a clockwise rotation of the mandible. (2) to increase tooth display, (3) to correct the dental midline, (4) to close the edentulous first molar spaces, (5) to achieve bilateral Class I canine and molar relationships.

The treatment plan included the extraction of the maxillary left third molar and the placement of a maxillary left posterior mini-screw for upper dental midline correction. The first molar spaces were closed with the assistance of an inserted mandibular right mini-screw for midline control.

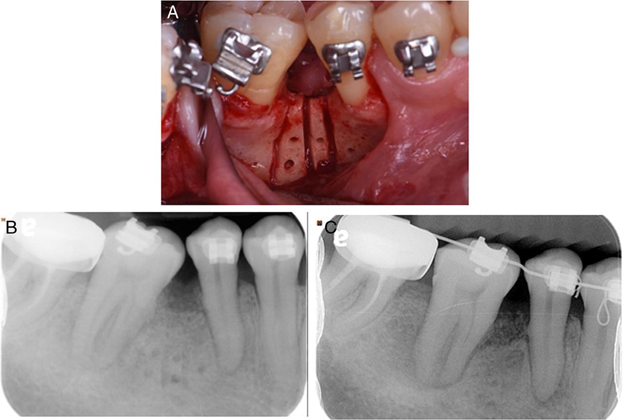
Because of the dimensions and characteristics of the bony defect of the mandibular left first molar, 8 months after the start of orthodontic treatment, guided bone regeneration (GBR) was attempted using a bone graft (Bio-Oss, Geistlich, Switzerland) and membrane (Bio-gide, Geistlich, Switzerland), combined with bone blocks (10 mm × 6 mm in dimension, harvested from the ramus on the distal side of the mandibular left third molar). After the graft, the bone thickness and height increased. To assist stabilisation, the bone fragments were temporarily fixed with tenting screws (Fig. 5). One month later, orthodontic movement commenced using a light continuous force and the mandibular second and third molars were uprighted using a V-bend in the arch wire.

Figure 5

Case 2: (A) The image shows the bone block temporarily fixed with tenting screws for stabilisation (Image shown here was from a similar intra-operative view to our patient's surgical procedure, courtesy of Dr. Chou). (B–E) Sequential panoramic radiographs of the lower left molars after GBR surgery.

The total treatment duration was 28 months. A stable occlusion was established and tooth display increased after treatment. Lingual fixed anterior retainers were placed in both arches and a removable upper Hawley and a lower wrap-around retainer were inserted for retention. Panoramic radiography demonstrated that the edentulous first molar space was successfully closed. No apparent root resorption was observed and the alveolar bone level at the mesial aspect of the mandibular left second molar had decreased slightly compared to the initial presentation (Fig. 4). A CBCT scan revealed favourable alveolar continuity over the lower left molars in the axial direction; however, very thin bone covering of the buccal surface was noted in the coronal dimension (Fig. 3B). One-year follow-up records showed a stable occlusion and maintained periodontal status (Fig. 4).

A cephalometric analysis revealed that the upper incisors were proclined and extruded. The lower anterior teeth were retracted and intruded. The maxillary molars extruded and the lower molars were uprighted and protracted. The mandibular plane angle increased, indicating a slight clockwise rotation of the mandible (Table I).

Discussion

The surgical methods that facilitate orthodontic tooth movement include, corticotomy, PAOO, interseptal alveolar surgery, corticision, piezocision, and micro-osteo-perforations. These methods rely on trauma to induce a regional acceleratory phenomenon (RAP) to accelerate bone turnover rate and therefore tooth movement.7 The duration of the RAP is temporary but can last for approximately 4 months.8,9 An additional study has indicated that, in humans, the RAP begins within a few days after surgery, typically peaks at 1–2 months, and may take 6–24 months to subside.10

The applied procedures can weaken the compact bone and are considered capable of reducing orthodontic treatment time by a third.11 However, surgical complications of a corticotomy and PAOO might engender marginal or interdental bone loss, loss of the attached gingiva, infection, unfavourable changes in the appearance of the gingiva, or post-operative pain and swelling. Therefore, when considering surgery-assisted orthodontic treatment, the posterior alveolar ridge can be a more appropriate site for aesthetic reasons.

Rather than a traditional corticotomy, the presented cases used piezoelectric tools for decortication because this approach is minimally invasive, more comfortable for the patient and therefore has greater acceptance.12,13 In Case 1, the PAOO procedure was adopted along with a FDBA allograft. Immediate orthodontic force for molar uprighting was applied without adverse consequences. The root movement was slow but continuous, taking 22 months for the molar root to move through the grafted ridge. In Case 2, a corticotomy was adopted along with an autogenous bone block via a xenograft and guided bone regeneration (GBR). The application of a protraction force was delayed for one month to avoid interfering with the resorbable collagen membrane and tenting screw stability. The space was closed smoothly at a rate of approximately 1 mm per month (Fig. 5B–E). The differences can be attributed to the patient's age, variation in the individual bone remodelling rate, and different graft materials.14,15 An autogenous bone graft, although associated with increased patient morbidity, possessed the ability to initiate osteogenesis and prompt bone remodelling, which might explain the space management efficiency in Case 2 after grafting.15 In Case 1, the mechanics of molar movement also involved root translation into the grafted area. Without A-P movement of the crown, the uprighting induced premature occlusal contact of the molar, which further impeded root movement.

A recent animal study suggested that the optimal timing for applying orthodontic force is 4 weeks after a xenograft and a bio-resorbable membrane have been placed,16 whereas immediate orthodontic traction has been suggested at the xenograft site.17 In the presented cases, both protocols showed promising results.

Bone-replacement grafts, including autogenous grafts, xenografts, allografts, and biocompatible synthetic materials, have been extensively evaluated.18 An autogenous graft is widely used because it initiates osteogenesis, osteo-induction, and osteo-conduction.19 However, harvesting autogenous bone requires an additional surgical site, which can increase the complexity of the surgical procedure as well as the risks, morbidity, and post-operative complications.20 Although an allograft does not have osteogenic properties, it still offers several advantages, including shorter surgical and postoperative recovery times, lower morbidity, and the ability to manage the size and shape of the graft, as well as to adapt the graft to the defect.21,22 In Case 1, only limited tooth movement, with mainly molar root mesialisation, could be expected from the outset; therefore, the combination of FDBA plus corticotomy and corticopuncture were selected to facilitate bone remodelling. In Case 2, because large-scale molar protraction was needed, an autogenous bone block with a bone allograft for extensive bone augmentation was chosen, based on the dimensions and characteristics of the bony defect.

In cases in which edentulous areas have reduced ridge dimension, a treatment option is to slowly move an adjacent tooth into the edentulous space to allow osteoblasts in the periodontal ligament to deposit new bone.1,5 Birgitta et al. found that orthodontic tooth movement into an edentulous space resulted in only minor alterations in the periodontal tissues; however, only premolars were examined, and lateral root resorption was a possible consequence.5 In addition, a longer treatment time was required, and additional prosthetic reconstruction was inevitable after orthodontic treatment.

Previous studies have stated that, if teeth are moved bodily into the alveolar process, bone remodelling creating healthy new bone apposition can be achieved using light, continuous force in the presence of good oral hygiene.23,24,25 Kessler et al.26 found that moving mandibular molars into a constricted edentulous ridge could result in the loss of periodontal support. Second molars have lost 1.3–2.0 mm of the mesial crestal bone after being moved forward into the edentulous space left by the absence of a mandibular first molar in adults.27,28 Furthermore, space closure of missing mandibular first molars may cause buccal and lingual dehiscences in the mandibular second molar areas.29 However, periodontal surgery and bone grafting in edentulous areas can considerably improve the shape and quality of the alveolar ridge and facilitate subsequent orthodontic movement. If teeth can be moved through the alveolar cancellous bone, damage to the periodontal tissue and gingival recession may be avoided.26,30

In the two presented cases, the mesial bone height of the mandibular second molars was not substantially reduced, and the periodontal condition of the neighbouring teeth was stable after treatment. However, despite the application of alveolar bone expansion and bone grafting, buccal gingival recession of the mandibular second molar was noted in both cases. This is a common sequela after a large amount of mesial second molar movement but a post-treatment CBCT scan revealed the protracted molar root was rightly located in the alveolar housing. In Case 2, small resorption lacunae were observed in the mesial aspect of the molar root surface in the sagittal view (Fig. 3B). Further periodontal maintenance was scheduled for both patients.

Conclusion

The combination of periodontal surgery and orthodontic treatment should be considered as a potential solution for space closure through an edentulous space. To reconstruct the recipient site, different grafting strategies were chosen according to the complexity of the surgical procedure. After treatment, both allografts and autogenous bone blocks enabled molar root mesialisation within a variable bone remodelling time.

DOI: https://doi.org/10.21307/aoj-2022.002 | Journal eISSN: 2207-7480 | Journal ISSN: 2207-7472
Language: English
Page range: 13 - 21
Submitted on: Nov 1, 2021
|
Accepted on: Dec 1, 2021
|
Published on: Jan 17, 2022
In partnership with: Paradigm Publishing Services
Publication frequency: 1 issue per year

© 2022 Shih-Ying Lin, Teresa Chanting Sun, Chia-Hsuan Chou, Li-Fang Hsu, published by Australian Society of Orthodontists Inc.
This work is licensed under the Creative Commons Attribution 4.0 License.