Have a personal or library account? Click to login
Orthognathic surgery-first approach with lingual appliances: a case report Cover

Orthognathic surgery-first approach with lingual appliances: a case report

Open Access
|Jan 2022

Full Article

Introduction

Patients presenting with a skeletal Class III relationship are challenging orthodontic cases due to complex treatment requirements. For adult patients with severe mandibular protrusion, only orthognathic surgery can improve facial aesthetics and correct the skeletal discrepancy.

Conventional three-stage orthognathic surgery, which incorporates presurgical, surgical and postsurgical stages, is the most widely accepted procedure for correcting skeletal deformities to produce satisfactory treatment results. However, there is a temporary worsening of the profile prior to surgery, a relatively long treatment time and, during the presurgical orthodontic phase, patients may complain about masticatory problems.1 Many patients are discouraged by their presurgical appearance.

The surgery-first approach (SFA) is a protocol in which the presurgical orthodontic phase is overlooked or greatly reduced. The surgical procedure is performed before orthodontic treatment which means that the teeth are not levelled nor aligned nor placed in their ideal position over the basal bone.2 Patients prefer this approach because of the immediate improvement in their facial appearance, while clinicians may benefit from the surgically-generated regional acceleratory phenomenon (RAP) to achieve rapid tooth movement.3

Two critical concerns related to adult orthodontics are the duration of treatment and its visual impact.4 Adult patients request fast and less visible treatment options. Lingual appliances offer a more aesthetic treatment approach which is also a viable alternative for patients who require orthognathic surgery. An acceptable appearance is undoubtedly the main motivating factor for most orthognathic surgery patients, and it is clear that patients would prefer less visible appliances throughout treatment.

The present case report describes the treatment of an adult patient who presented with a skeletal Class III malocclusion and who was treated via an orthognathic surgery-first approach and lingual appliances.

Diagnosis and aetiology

A 21-year, 8-month-old, female patient presented with the chief complaint of an unaesthetic prominence of her chin. The patient was healthy, practised good oral hygiene, and had no periodontal nor temporomandibular joint problems. She had a Class III molar and canine relationship bilaterally plus a negative overjet (−2.2 mm), along with anterior and bilateral posterior cross-bites. The lower dental midline had slightly shifted to the right. A facial analysis revealed a concave profile, a mild maxillary deficiency and a protrusive lower lip (Fig. 1). According to a dental cast analysis, 1.5 mm of maxillary and 2.5 mm of mandibular crowding were present, in addition to a 1.3 mm lower anterior Bolton excess (Fig. 2).

Figure 1

Pre-treatment extraoral and intraoral photographs.

Figure 2

Pre-treatment dental casts.

Caucasian adult female cephalometric normal values5 revealed a skeletal Class III relationship (ANB = −3.1°, Wits Appraisal = −11.3 mm) highlighted by maxillary retrusion (SNA = 76.9°). The vertical dimension indicated a hyperdivergent growth pattern (FMA = 31.7°) (Table I, Fig. 3). The upper incisor inclination was within the normal range (U1-NA = 24.1°) but the lower incisor inclination was reduced (L1-NB = 19.3°). A postero-anterior cephalometric analysis showed that the maxillary width (JR-JL) was 63.4 mm, and the inter-antegonial notch width (AG-GA) was 86.2 mm, producing a maxillo-mandibular differential of 22.8 mm (Fig. 3). According to the Ricketts/RMO analysis, the maxillo-mandibular transverse differential was 3.2 greater than the Rocky Mountain normal value (the maxillo-mandibular transverse differential index was 3.2).6

Table I

Cephalometric Analysis.

MeasurementNormPretreatmentPosttreatmentOne-year follow-up
Skeletal
  SNA, °83.3 ± 3.776.979.479.4
  SNB, °79.0 ± 3.380.077.378.2
  ANB, °3.4 ± 1.9−3.12.11.2
  Wits appraisal, mm−0.8 ± 2.4−11.3−3.3−3.8
  SN-GoGn, °32.0 ± 6.041.94039
  MP-SN, °33.0 ± 6.044.64240
  FMA (MP-FH), °23.0 ± 4.531.73029
  Convexity (NA-APo), °5.0 ± 3.0−8.72.41.5
  Anterior Facial Height (ANS-Me), mm71.5 ± 5.065.464.262.7

Dental
  Maxillary dentition
    U1-NA, °22.8 ±5.724.123.523.5
    U1-NA, mm4.3 ± 2.74.44.14.1
    U1-SN, °102.8 ± 5.5101.0102.9102.9
    U1-Palatal Plane, °110.0 ±5.0115.3116.9116.9

  Mandibular dentition
    L1-NB, °25.3 ± 6.019.322.321.1
    L1-NB, mm4.0 ± 1.82.54.13.9
    L1-Apo, °22.0 ±4.024.321.820.2
    L1-APo, mm2.2 ± 1.34.321.8
    IMPA (L1-MP), °96.6 ±7.574.281.580.8

  Maxillary/mandibular dentition
    Interincisal Angle (U1-L1), °130.0 ± 6.0140.3132.3131.2
    Overjet, mm2.5 ± 2.5−2.12.72.5
    Overbite, mm2.5 ± 2.02.60.91.5

Soft tissue
  Upper lip to E-plane, mm−5.8 ± 2.4−9.5−7.8−7.9
  Lower lip to E-plane, mm−3.8 ±2.4−3.6−5.2−5
  Nasolabial Angle (Col-Sn-UL), °111.6 ± 9.5107.0103.2103.2

Figure 3

Pre-treatment posteroanterior cephalometric, lateral cephalometric and panoramic radiographs.

Treatment objectives

The treatment objectives were to improve facial and profile aesthetics, to correct the skeletal Class III relationship, to normalise the overjet, to obtain ideal incisor inclination, and to achieve Class I canine and molar relationships characteristic of an ideal functional occlusion.

Treatment alternatives

Two treatment plans were presented to the patient. The first option was a conventional three-stage orthognathic surgery program involving dental decompensation. However, the patient rejected this option because immediate improvement of facial aesthetics was a primary goal. In addition, the patient did not want to be treated using labial appliances because of her aesthetic concerns. Therefore, an orthognathic surgery-first approach followed by postsurgical orthodontic treatment using lingual appliances was adopted as the second option to meet the aesthetic expectations of the patient.

Treatment progress

At the initial consultation appointment, the patient was referred to the oral surgery department to extract the third molars. Orthodontic records were collected, including lateral and postero-anterior cephalometric radiographs. One week before the surgery, Inovation L self-ligating lingual brackets (DENTSPLY GAC) with 0.018-inch slots were attached using an indirect bonding technique (Fig. 4). Surgical records were collected and a face-bow transfer was made at the same appointment. A day before surgery, 0.016-inch nickel-titanium (NiTi) arch wires were inserted into the maxillary and mandibular arches and labial buttons were bonded to assist intermaxillary fixation.

Figure 4

Self-ligating lingual brackets after indirect bonding.

Dolphin Imaging software (Version 11.5 Premium, Chatsworth, CA, USA) was used to plan surgery and soft tissue simulation was performed accordingly (Fig. 5). The patient did not have a gummy-smile, therefore, a surgical plan was prepared in which the amount of impaction would not be excessive. The surgical plan consisted of a Le Fort 1 osteotomy involving a 4-mm advancement and 2-mm impaction of the maxilla, a mandibular setback of 4-mm via a bilateral sagittal split ramus osteotomy plus a reduction genioplasty of 2 mm. The surgical splints were constructed and the surgery was performed according to the surgical plan. During the procedure, in addition to the labial buttons bonded to the teeth, four mini-screws (diameter, 2 mm; length, upper 12 mm, lower 10 mm; KLS Martin, Umkirch, Germany) were inserted in each quadrant to support surgical intermaxillary fixation (Fig. 6). After the rigid internal fixation of the bone segments was established, the mini-screws were immediately removed. The second splint was removed after the surgery and light intermaxillary elastics were applied during the recovery period. The patient was discharged from hospital two days later without sign of complications.

Figure 5

Soft tissue simulation based on the surgical plan.

Figure 6

Intra-operative photographs showing the intermaxillary fixation with mini-screws.

At the first post-surgical appointment, the molar relation was Class I and a positive overjet was evident. Vertical intermaxillary elastics (3/16″, 4.5 oz, 3M Unitek, Monrovia, California, USA) were applied and the instruction was for full-time wear of twenty hours a day (Fig. 7). After three weeks, 0.016-inch titaniummolybdenum alloy (TMA) arch wires were placed (Fig. 8). During subsequent visits, the arch wires were upgraded in sequence from 0.0175 × 0.0175-inch TMA to 0.017 × 0.022-inch TMA. Interproximal reduction was performed on the lower anterior teeth to correct the midline shift and Bolton excess. During the last phase of the treatment, settling intermaxillary elastics (3/16″, 6 oz, 3M Unitek, Monrovia, California, USA) were applied to the posterior teeth. After debonding, canine-to-canine fixed retainers were bonded (Fig. 9) and vacuum-formed retainers were fabricated for nighttime wear. The total active treatment period was 16 months.

Figure 7

Post-surgical extraoral and intraoral photographs.

Figure 8

Extraoral and intraoral photographs 3 weeks after surgery.

Figure 9

Post-treatment extraoral and intraoral photographs.

Treatment results

Post-treatment photographs in the frontal and lateral views revealed an improvement in facial aesthetics (Fig. 9). The post-treatment cephalometric analysis showed that a skeletal Class I (ANB = 2.1°) relationship was achieved (Fig. 10, Table I). The maxillary and mandibular arches were aligned, the anterior and bilateral posterior cross-bites were corrected and Class I molar and canine relationships were obtained along with an ideal overjet and overbite (Fig. 11). The mandibular midline was corrected with respect to the facial midline and an occlusion with solid intercuspation was achieved (Fig. 9).

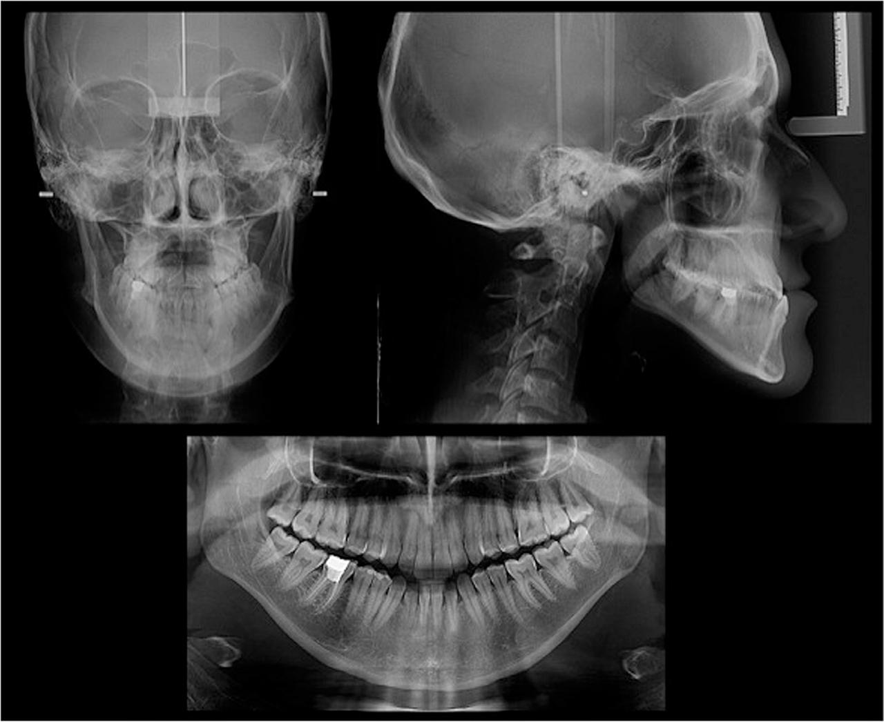
Figure 10

Post-treatment panoramic and lateral cephalometric radiographs.

Figure 11

Post-treatment dental casts.

The post-treatment panoramic radiograph showed no significant root resorption (Fig. 10). Upon super-imposition of the pre- and post-treatment cephalometric radiographs (Fig. 12), skeletal and dental improvement was noted. One-year post-treatment photographs and radiographs showed that the treatment results remained stable (Figs. 13 and 14). It was appreciated that the overbite and settling of the occlusion were much better at the one-year review as a result of the resolution of the anterior bite plane effect created by the lingual brackets (Figs. 13, 14 and 15).

Figure 12

Cephalometric superimposition on sella: Pretreatment (black line) and posttreatment (red line).

Figure 13

Extraoral and intraoral photographs at one-year follow-up.

Figure 14

Panoramic and lateral cephalometric radiographs at one-year follow-up.

Figure 15

Cephalometric superimposition on sella: Posttreatment (red line) and one-year follow-up (green line).

Discussion

Compared to three-stage orthognathic surgery, a SFA has advantages related to a shorter treatment time, an immediate facial aesthetic improvement and high levels of patient satisfaction which can provide an increase in co-operation.7,8,9,10 Skeletal malocclusions may be treated by this surgical approach but in selected cases with special conditions. SFA may not be suitable if patients present with active temporomandibular joint problems, severe crowding requiring extractions, a transverse maxillary hypoplasia requiring palatal expansion and a Class II division 2 malocclusion with a severe deep-bite.9,11,12 In addition, a history of trauma, dentofacial deformity, local infection, periodontal and medical problems that slow/inhibit healing are conditions in which a SFA is also contra-indicated.10,13,14,15 In an adult patient, a maxillo-mandibular transverse differential index greater than 5 mm suggests the need for surgical expansion but the value of 3.2 for the presented patient was considered manageable and so no expansion was undertaken.6,16

Reported cases previously treated by a SFA generally sought management because of a Class III malocclusion.1,17,18 Class III patients tend to be more self-conscious regarding their facial appearance and want an immediate change.19 The present patient also had a Class III malocclusion and demanded a rapid improvement of her facial appearance.

Pelo et al.20 evaluated the differences between the conventional three-stage orthognathic surgery protocol and the SFA related to the level of outcome satisfaction and quality of life. The study comprised 30 bimaxillary orthognathic surgery patients who were assigned into two groups. It was found that, during the dental decompensation phase, a worsening of the facial profile occurred which had a negative impact on the perception of the patients’ quality of life. The two different approaches should not simply be based on subjective patient evaluations but also on the final outcome and the duration of treatment.

The most commonly reported benefit of a SFA was a decrease in treatment time which can be explained by a regional acceleratory phenomenon (RAP). As the decompensation of the teeth is the most time-consuming step of a three-stage orthognathic surgery protocol, a beneficial RAP is induced by the SFA. Osteoblasts and osteoclasts are likely activated at the site of the surgery and an increase in blood flow above expected levels, occurs.17 The RAP increases the rate of orthodontic movement and bone remodelling which assists the healing phase.21,22 The total treatment time required for the present patient was 16 months which was a relatively short period compared with conventional three-stage orthognathic surgery. In particular, a conventional presurgical phase tends to last between 15 and 24 months and the postsurgical phase often lasts between 7 and 12 months.23 Based on studies in which SFA has been compared with a three-stage orthognathic surgery protocol, the total treatment time was found to be longer in the conventional group.10,14,15 Jeong et al. compared 45 patients who experienced a SFA and 52 patients who underwent conventional three-stage orthognathic surgery.24 It was reported that the average treatment time was 14.6 months for SFA and 22 months for 3-phase orthognathic surgery. In addition, no major complications were encountered following the SFA but it was recommended that SFA would be a better option if the course of care did not require tooth extraction. In addition, a systematic review found no data supporting the assumption that the postsurgical complications of SFA are greater than the three-stage surgery protocol.25

For a SFA, orthodontic appliances are generally placed one to six weeks before the surgery. The majority of clinicians prefer to use passive stainless steel arch wires while others prefer to insert a surgical arch wire on the day of operation to prevent unwanted tooth movement. In the presented patient, lingual brackets were placed one week before, and arch wires applied one day before the surgery. By using this method, it was considered that advantage could be taken of the RAP phenomenon, which is known to last about 3–4 months.17 This method was also preferred because an orthognathic surgery patient undergoing lingual treatment is unable to open their mouth widely for several weeks subsequent to the surgery, during which time the lingual arch wires cannot be adjusted. It is believed that using super-elastic arch wires with lingual appliances prior to SFA could be accepted as the preferred protocol to take full advantage of the RAP phenomenon.17,26,27 The shape-memory wire properties contribute to a shortening of the alignment and levelling phase.

The method of surgical intermaxillary fixation is critical in orthognathic surgery. In SFA studies, investigators have attached a single bracket or an arch wire directly to the teeth for intermaxillary fixation.1,10 However, in lingual surgery cases, temporary anchorage devices are considered mandatory because the lingual appliances cannot be used for the application of intermaxillary fixation.28 Temporary anchorage devices allow a large range and magnitude of orthodontic vectors and avoid premature contacts.9,18 One of the authors of the present report (ÖPÖ) trialed various intermaxillary fixation techniques for lingual orthodontics and recommended the use of labial buttons and mini-screws for the best surgical outcome. In the present case, four mini-screws were used for intermaxillary fixation and were removed immediately after rigid internal fixation of the bone segments was no longer required.

Postsurgical stabilisation using a second splint was reported in previous SFA studies, but it is only recommended for patients with maxillary segmentation and a predicted unstable postsurgical occlusion.1,9,13,15 In the present case, the postsurgical use of the second splint was not required because the patient's procedure was a one-piece Le Fort 1 osteotomy which produced a stable and balanced postsurgical occlusion. Previous studies10,13,29,30 have evaluated the stability of SFA and effective stability has been found in the vertical and sagittal planes. An increased overbite, a deep curve of Spee, a large negative overjet and a large mandibular set-back have been considered factors contributing to instability in SFA cases.30

Surgery with accompanying lingual appliances is a challenge for most clinicians. However, it is the appliance of choice for a demanding patient. Lingual appliances have disadvantages related to irritation of the tongue, speech problems, different biomechanical effects, complex bonding and debonding procedures.31,32 To reduce the disadvantages, self-ligating lingual brackets, which were smaller in size compared with most lingual brackets, were used for the present patient. Nevertheless, the second molar tubes were removed during the postoperative phase due to irritation of the patient's tongue.

It is more difficult for patients to maintain oral hygiene if brackets are placed lingually, especially during the immediate post-surgical period. For this reason, initial patient selection is critical. The present patient had acceptable oral hygiene and was motivated to maintain a high level of hygiene throughout.

SFA treatment has limitations. It is difficult to effectively procline the lower incisors due to the lingual application of force. Therefore, the decompensation of teeth was not considered nor cannot be adequately achieved. There is less protrusion of the incisors which is a clinical feature of lingual therapy.

It is noted that the presented patient was still hyperdivergent at the end of the treatment. Initially, the patient did not have a gummy-smile and so if a greater maxillary impaction was performed, the gingival display would reduce and smile aesthetics would be adversely affected. It was considered that the genioplasty could have been planned to further reduce the anterior facial height. At the one-year follow-up, a minor decrease in the vertical dimension was observed and likely due to the removal of the anterior bite plane effect following debonding of the lingual brackets.

The selection of an appropriate patient and comprehensive communication between the clinician and patient are the key factors for a successful outcome of an orthognathic surgery-first approach.

Conclusions
  • Successful treatment results and an ideal occlusion can be achieved by a combination of an orthognathic surgery-first approach and lingual appliances in patients with high aesthetic expectations.

  • As facial aesthetics quickly improved, the patient was satisfied with the treatment outcome.

DOI: https://doi.org/10.21307/aoj-2022.001 | Journal eISSN: 2207-7480 | Journal ISSN: 2207-7472
Language: English
Page range: 1 - 12
Submitted on: Oct 1, 2021
|
Accepted on: Dec 1, 2021
|
Published on: Jan 12, 2022
In partnership with: Paradigm Publishing Services
Publication frequency: 1 issue per year

© 2022 Hande Pamukçu, Serhat Özsoy, Hakan H. Tüz, Ömur Polat-Özsoy, published by Australian Society of Orthodontists Inc.
This work is licensed under the Creative Commons Attribution 4.0 License.