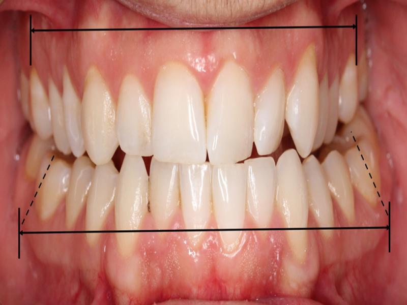
Figure 1.

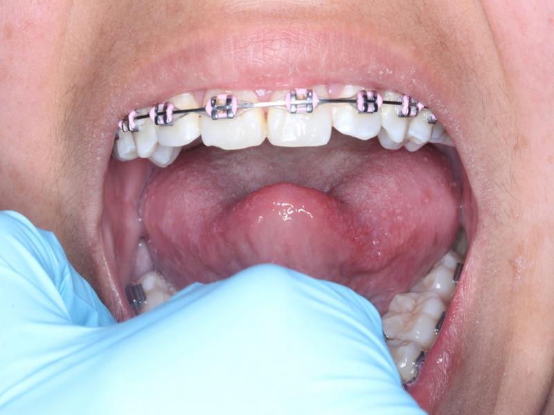
Figure 2.

Figure 3.

Correlation between the TRMR grade and clinical finding within patients with posterior tongue-tie_
| Posterior tongue-tie (n = 47) | |||
|---|---|---|---|
| Subjects | Proportion(%) | ||
| TRMR grade | Grade 1 | 3 | 6.4 |
| Grade 2 | 40 | 85.1 | |
| Grade 3 | 4 | 8.5 | |
| Grade 4 | 0 | 0.0 | |
The intergroup comparison of proportion of each grade and clinical findings of tongue tie_
| MSE group | Control group | p-value | ||
|---|---|---|---|---|
| Kotlow free toungue measurement | Normal | 33 (75.0%) | 31 (88.6%) | |
| Class 1 | 10 (22.7%) | 4 (11.4%) | 0.239 | |
| Class 2 | 1 | 0 | ||
| Class 3 | 0 | 0 | ||
| Class 4 | 0 | 0 | ||
| TRMR grade | Grade 1 | 3 (6.8%) | 14 (40.0%) | |
| Grade 2 | 36 (81.1%) | 20 (57.1%) | 0.001 | |
| Grade 3 | 5 | 1 | ||
| Grade 4 | 0 | 0 | ||
| Clinical assessment | Anterior tongue tie | 2 | 0 | |
| Posterior tongue tie | 32 (72.7%) | 15 (42.9%) | ||
| without tongue tie | 10 (22.7%) | 20 (57.1%) | 0.005 |