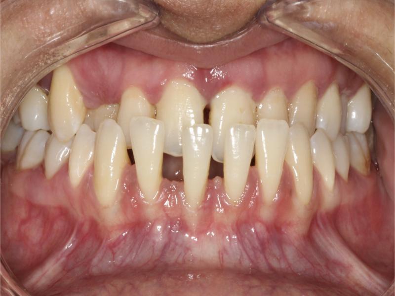
Figure 1.

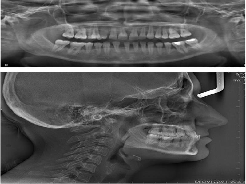
Figure 2.

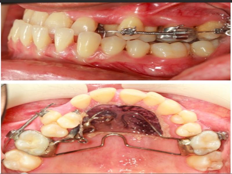
Figure 3.

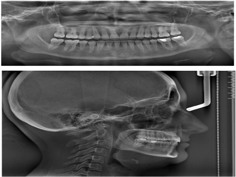
Figure 4.

Figure 5.

Figure 6.

Figure 7.

Figure 8.

Figure 9.

Figure 10.

Cephalometric measurements at the pretreatment, posttreatment and follow-up with norm values_
| Measurements | Norm | Pretreatment | Posttreatment | 2-year follow-up |
|---|---|---|---|---|
| SNA (˚) | 80˚ ± 2˚ | 81.1˚ | 81.3˚ | 81.4˚ |
| SNB (˚) | 78˚ ± 2˚ | 84.4 | 82.3˚ | 82.2˚ |
| ANB (˚) | 2˚ ± 2˚ | ‒3.3˚ | ‒1˚ | ‒0.8˚ |
| SN-GoGn (˚) | 32˚ ± 6˚ | 21.5˚ | 22.7˚ | 22.8˚ |
| Facial Angle (˚) | 88˚ ± 6˚ | 95.4˚ | 90.2˚ | 90.2˚ |
| U1-PP (˚) | 112˚ ± 6˚ | 111.8˚ | 114.7˚ | 114.5˚ |
| IMPA (˚) | 90˚ ± 3˚ | 99.1˚ | 88.7˚ | 88.8˚ |
| Overjet (mm) | 2.5 mm | ‒4.8 mm | 2.6 mm | 2.7 mm |
| Overbite (mm) | 2.5 mm | 3.9 mm | 2.9 mm | 3 mm |
| U lip-E plane (mm) | ‒4 mm | ‒7.2 mm | ‒5.9 mm | ‒5.7 mm |
| L lip-E plane (mm) | ‒2 mm | ‒1.7 mm | ‒4.7 mm | ‒4.7 mm |