Three-dimensional (3D) imaging technology has become extensively used in orthodontics for treatment planning and for the custom fabrication of treatment mechanics, including sequential aligners and fixed appliances. 1-4 Intraoral scanners of high resolution capability can acquire detailed three-dimensional (3D) images of individual tooth crowns and entire dental arches, allowing the accurate examination of both crown alignment and root parallelism. 5-7 While cone-beam computed tomography (CBCT) remains the gold standard for the assessment of root morphology and position, 8-11 crown morphology and occlusal relationships remain difficult to accurately assess.
The superimposition of individual 3D models at different treatment stages using unaltered crown morphology allows the visualisation of changes in position, not only of the crowns, but also the axial root inclinations, as these follow the crowns. 12-17 Intraoral scanning eliminates the need for radiation exposure, is simple to perform, and has been shown to have clinically acceptable accuracy even in the estimation of root axis angles. 5
Metrology software has been widely used for the assessment of 3D tooth models. 18 Geomagic® Control X™ software (3D systems, NC, USA) has been employed in numerous recent studies for the assessment of overbite, labio-lingual crown angulation and incisor rotation. 6,7,19,20
The existence of stereolithographic (.STL) models from a pretreatment scan, as well as subsequent scans at the end of treatment with a series of aligners, can be compared against .STL files of the projected treatment outcome which may be supplied by companies including Align Technology® as part of their ClinCheck® software. Currently, most aligner manufacturers do not supply this projected treatment .STL file automatically. The provision of a projected treatment outcome .STL file allows a quantitative and qualitative comparison of the actual treatment outcome with a desired treatment outcome in three dimensions, for the crowns and roots, and with a high degree of clinically acceptable detail and accuracy, in a way that has not been employed in orthodontics.
The present article aims to highlight novel uses of this technology and so provide more detailed data for the assessment of the clinical expression of tooth movements against those prescribed by the orthodontist in their digital treatment plan. Furthermore, it is aimed to determine where changes may be needed for improved case selection and clinical outcomes. Metrology can significantly augment the traditional means of assessment of a case presentation, usually supplied by radiographs, photographs, and study models. While the use of metrology will make individual case presentations far more detailed and accurate, the combined data from large numbers of similar cases will allow the recognition of patterns of expression relevant to the particular case types, appliance construction, aligner material, and wear protocols.
A single case report introducing some aspects of metrology software in an aligner case, in addition to the traditional methods of case assessment of photographs, radiographs, and screen shots of ClinCheck® images, has been published. 21 The current article is also intended to clarify, highlight, and extend the assessment used in that article.
Geomagic® Control X™ software identifies each tooth via the recognition of up to 1500 points on the surface of any tooth crown to generate a point cloud (Figure 1). Providing that there is no significant change to tooth morphology over the course of treatment, for example from a restoration, wear or ameloplasty, these points are recognised on any models produced during subsequent treatment stages. Models of the same arch taken at different time points can then be superimposed using Geomagic® Control X™ software to assess the precision by which the achieved outcome matched the intended outcome as prescribed using the pretreatment ClinCheck process. The superimpositions are performed in the following presented examples using the best-fit surface registration (global and fine) feature with an 80-iteration count. 6,7,19

Point cloud model derived from a 3D scan showing the multiple points identified by the software on each tooth.
The following methods of digital model analysis using 3D metrology will be discussed:
-
Measurement of a series of models with direct comparison of differences
-
Visual comparison of superimposed models (no measurement)
-
Single point 3D comparison measurements
-
3D heat maps
-
2D slice heat maps
Since a particularly noteworthy application of this technology is to allow a comparison of the predicted treatment outcome with the actual outcome, as demonstrated by Goh et al., 21 the following examples are based on the predicted outcome derived from the ClinCheck® process. This will be termed the reference model, and the clinically achieved outcome termed the measured model. Depending on the desired measurements to be investigated, any models of the same arch in a treatment sequence could be used.

Direct measurement of models. Green = reference (predicted) model, Yellow = measured (achieved) model.
This method digitally replicates the measurement of study models using callipers that orthodontists have employed for decades. The selection of points on the reference model to allow measurement of, for example, transverse arch width will transfer exactly to the same points on the measured model, as the software is able to recognise those points on each subsequent model, providing that crown shape has not changed significantly. This means that, even for multiple models of the one arch taken at several time points, the same tooth points will be selected by the software and the selected measurements automatically generated.

Direct visual comparison. Green = reference (predicted) model, Yellow = measured (achieved) model.
Using individual points identified on all of the tooth crowns according to the above description, the software can perform a global and best fit superimposition of the models from the same arch taken at different treatment time points. While the accuracy of this superimposition method is not yet fully quantified, it has been employed in numerous studies 6,7,19 and appears to have acceptable precision, particularly if variables such as heavy interproximal reduction or ameloplasty are excluded. Visual superimposition provides a simple overview but, owing to the nature of the models being merged into one another, accurate quantification is not possible.

Single point comparison. Selection of a comparison point on superimposed models (4a) will allow generation of 3D measurements of the displacement of that point from the reference model to the measured model (4b).
The Point Comparison tool allows the identification of a single point on a reference model, which is then transferred to a measured model and an automatic measurement of the three-dimensional displacement of that point from the reference model is generated.

The heat map scale, showing controls that can be used to alter the scale. Current image is set to 1 mm deviation either side of ideal, with subdivisions at 0.1 mm.

3D heat map superimposition at different levels of discrimination. 6a: Scale 0.5 mm either side of ideal with 0.05 mm subdivisions. 6b: Scale 1 mm with 0.1 mm subdivisions. 6c: Scale 2 mm with 0.2 mm subdivisions.
Geomagic® Control X™ software can be used to superimpose models using 3D heat maps instead of direct visual superimposition. The employed heat map scale shows any tooth point that moves out of the reference model when the measured model is superimposed in the red end of the colour spectrum, while a movement of a point into the model will appear in the blue end of the spectrum. The colour gradient is scalable depending upon the desired precision of assessment of tooth movements. Goh et al. 21 used a 1 mm deviation scale, in which any movement between models greater than 1 mm is identified as solid blue or solid red, with the remaining lesser movements identified by colours changing in 0.1 mm gradations (Figure 6b). A graphical display is also generated, showing the distribution of total point discrepancy around the ideal (no change, green) centre. This graph can be seen adjacent to the colour bar in Figure 5 and allows a quick visual assessment of the approximate percentage of movements that fall within a range considered acceptable, for example 0.5 mm either side of the ideal.

2D slices for heat map superimposition in the three planes of space. NB, a slice can be made at any point or level through the model.

A 2D slice heat map generated in the X axis through the upper right central incisor. The reference model is in black, the measured model is coloured, depending on direction and amount of displacement. In this model the incisor crown is displaced more palatally and slightly more incisally than the prescribed position.

2D slices can be further measured by clicking on a particular line of displacement, generating, to four decimal points, the displacement of that point from reference to measured model.

Digital models can be sliced into planes (Figure 7) to generate a two-dimensional (2D) heat map of a tooth or teeth at that slice location (Figure 8). This allows a rapid visual assessment of the displacement of a point on the measured model from the reference model in 2D. Additional information can be accessed by clicking on a specific line on the heat map to show the actual linear displacement of that identified tooth point (Figures 9a, 9b). The same point as in Figure 9 can be visualised in 3D displacement by reverting to the Point Comparison tool without needing to reidentify that point (Figure 10).
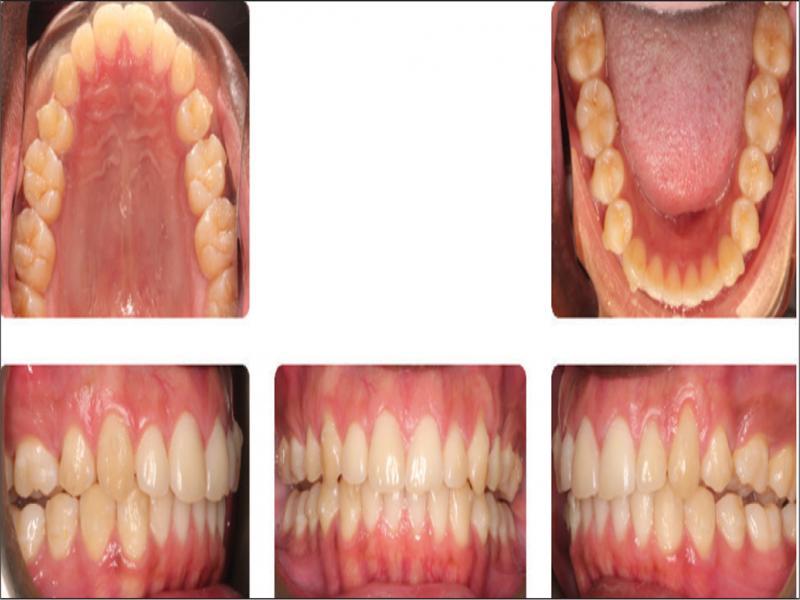
The case shown in Figure 11 was treated using clear aligners and the extraction of the upper second premolars. At the end of the initial sequence of aligners, a left side posterior open bite was noted (Figure 12). Without metrology, it was only possible to speculate on the relative contributions of the extrusion of some teeth and the intrusion of others to produce the open bite. A 3D heat map (Figure 13) was generated and 2D slices through the left central incisor and the upper left buccal segment were obtained (Figure 14). From these, it can be seen that the likely cause of the left posterior open bite was failure to adequately intrude the upper incisors during retraction, as well as extrusion of the distal cusps of the upper second and third molars, along with tipping and intrusion of the mesial cups, especially of the upper first molar. These discrepancies were greater than 1 mm in magnitude, but more accurate discrimination is possible to derive.

Case example at treatment start. Teeth 15, 25 to be extracted.

Case at completion of the initial series of aligners, before additional aligners, showing especially the left side posterior open bite.

3D heat map demonstrating accuracy of tooth movements.

2D slice of the upper left central incisor and the upper left buccal segment (molars).
The time taken to design a digital treatment plan is not well spent if the clinical outcome routinely fails to match the prescribed outcome. Technological improvements provide the clinician better tools by which to assess treatment results by displaying the expression of desired or programmed movements. Shortfalls or the over-expression of movements can be identified, quantified, and remedial measures applied to improve the clinical outcome. Additionally, accumulated data from a range of treated cases may serve to identify features specific to certain appliances, movement protocols, tooth movements or malocclusions. Routine shortfalls in movement expression could then be prospectively applied by the manufacturers of orthodontic treatment software and clinicians to avoid undesirable treatment outcomes.
The application of 3D metrology software to assess the differences between prescribed final tooth positions and clinically achieved positions has been demonstrated and an example of its application in the assessment of a treatment outcome has been provided. The usefulness of this technology clearly exceeds the current examples, which have been used to highlight how case presentation details could be significantly improved.
3D metrology has the potential to significantly improve the information and accuracy of case presentations. In addition, it can be used to improve digital treatment planning in a wide range of cases and with different orthodontic appliances. Some examples have been presented to highlight the technology. Further research into and a demonstration of the utility of this technology is merited.