Figure 1

Summary of published cases of Foix-Chavany-Marie Syndrome of traumatic origin_F – female, M – male, mo – months, NA – not available, SAH – subarachnoid haemorrhage, SLT – speech and language therapy, yr - year
| Author, Year | Age (yr), Gender | Hand dominance | Brain Trauma Mechanism | Imaging Findings | Symptoms | Treatment | Outcome |
|---|---|---|---|---|---|---|---|
| Laurent-Vannier et al.2, 1999 | 10, M | Left | Bilateral Closed Car accident | Right frontopolar, right anterior temporal cortex contusions, brain edema and SAH (day 1) Left subdural collection and extradural hematoma (day 3) | Automatic-voluntary dissociation Loss of voluntary control of muscles Innervated by cranial nerves V, VI, VII, IX, X, and XI | Surgical evacuation of the left extra-axial hematoma | Poor recovery limited orofacial abilities (18mo) |
| Cambpell et al.3, 2009 | 24, M | NA | Sequential bilateral Closed Assault | Right frontal and temporal contusions, midline shift (day 1) Left frontal contusion (22mo later) | Automatic voluntary dissociation Bilateral central facial palsy, loss of gag reflex, loss of voluntary movements of the tongue Mouth half open, drooling saliva | Surgical evacuation of the right contusion Conservative (SLT) | Good recovery |
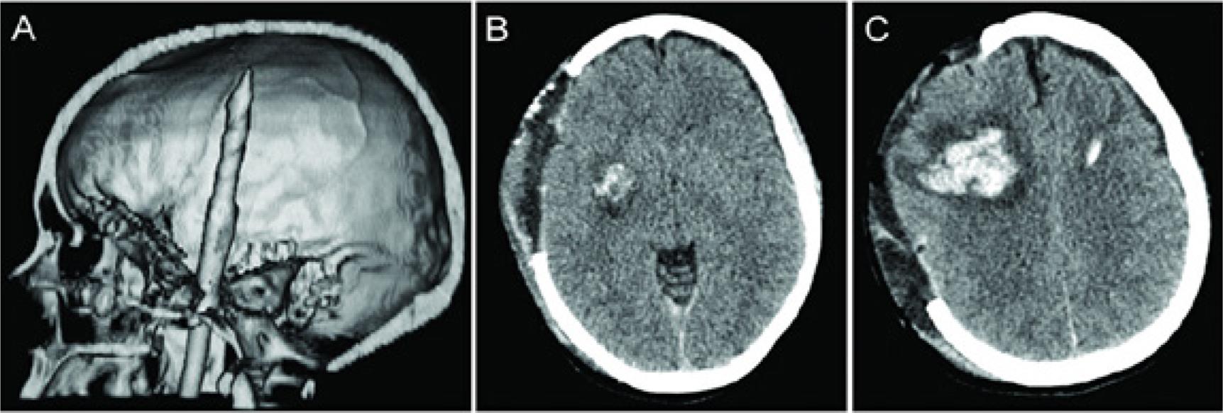
| Nitta et al.,4 2013 | 24, F | Right | Unilateral Closed Car accident | Right subdural hematoma, midline shift, opercular Premotor cortex contusion on intraoperative Inspection | Automatic-voluntary dissociation Unable to swallow and speak Mouth half open, mastigatory diplegia | Surgical evacuation of the right contusion | Partial recovery (18mo) |
| Acioly et al., 2017 | 28, F | Left | Unilateral Penetrating Spear gun injury | Right operculo-insular hematoma (day 1) | Automatic-voluntary dissociation Loss of voluntary control of muscles innervated by cranial nerves V, VI, VII, IX, X, and XII | Decompressive craniectomy SLT | Full recovery (24mo) |