In glioma resection at an eloquent area, the extent of tumor resection and postoperative functional status of the patient are the major determinants of outcome. Intraoperative electrophysiological monitoring and awake craniotomy have contributed significantly to safety of surgeries around the eloquent areas but sometimes may limit the tumor resection rate [1,2,10,13]. Brain plasticity is another concept that helps to reduce postoperative neurological deficits while maximizing the extent of tumor removal [3,11]. A reliable, non-invasive and sensitive tool for assessing brain plasticity may be very useful in predicting the proper timing for subsequent surgeries as well as in preoperative planning of the extent of tumor resection.We imagine that NIRS may be a useful tool in monitoring of low grade tumours for plasticity. The aim of this paper is to highlight the usefulness of near-infrared spectroscopy (NIRS) in evaluating the possibility of functional preservation for surgeries in eloquent areas.
The patient was a right handed 46-year-old woman, who had a history of multiple surgeries that spanned over three years for an intra-axial tumor.
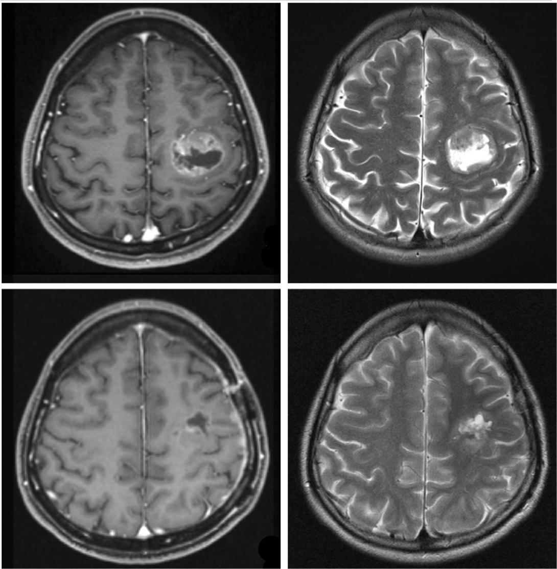
Initial symptom was gradually deteriorating right hand monoparesis of four months duration. Radiological examination showed a round heterogeneous mass located at the ventral side of precentral gyrus in the left frontal lobe (Figure 1, upper). Intraoperative motor evoked potential and somatosensory evoked potential mapping successfully indicated the central sulcus and precentral gyrus in the operative field. Internal decompression of the tumor was performed through minimum corticotomy to avoid damage of the eloquent areas of the brain. Histopathological diagnosis was anaplastic ependymoma and 80% of the enhanced lesion was removed (Figure 1, lower). Adjuvant conventional radiotherapy was added. She recovered motor function in the right upper extremity. Two years after the initial surgery, she presented with a progressively worsening right upper extremity (U/E) paresis, manual muscle testing (MMT) 3. Neuroimaging investigations confirmed tumor regrowth. A second surgery was scheduled. Prior to the second surgical treatment, functional magnetic resonance imaging (fMRI) and tractography confirmed the right motor function to be located in the left precentral gyrus and connected to pyramidal tract (Figure 2). Internal decompression was performed again with the aim of preserving and recovering her left U/E function. Histopathological diagnosis was as same as the initial surgery, but MIB-1 labeling index increased. After the second surgery, rapid local regrowth of the tumor was observed. Two further surgeries for internal tumour decompression and Ommaya reservoir placement for evacuation of fluid in the tumour removal cavity were necessary in one year. Temozolomide, procarbazine and interferon-beta were not effective for tumor control.

Magnetic resonance imaging (MRI) before initial operation showing the round ringed enhanced lesion in the left motor area without massive perifocal edema (upper). Postoperative MRI showing that the small remnant tumor left at the parietal side of removal cavity (lower).

MRI before second operation. Tractography which was caliculated by volume one showing corticospinal tract located at parietal side of the lesion (upper). Functional MRI by moving foot joint showing that hot spot of lower left and lower right looks almost as a mirror image.
Four months later, the tumor rapidly extended to the pyramidal tract, basal ganglia and corpus callosum four months after the fourth surgery (Figure 3, upper). She had mild motor aphasia and right hemiparesis: proximal U/E MMT 2, distal U/E MMT 4, lower extremity (L/E) MMT 2. Her Karnofsky performance state score was 70%.

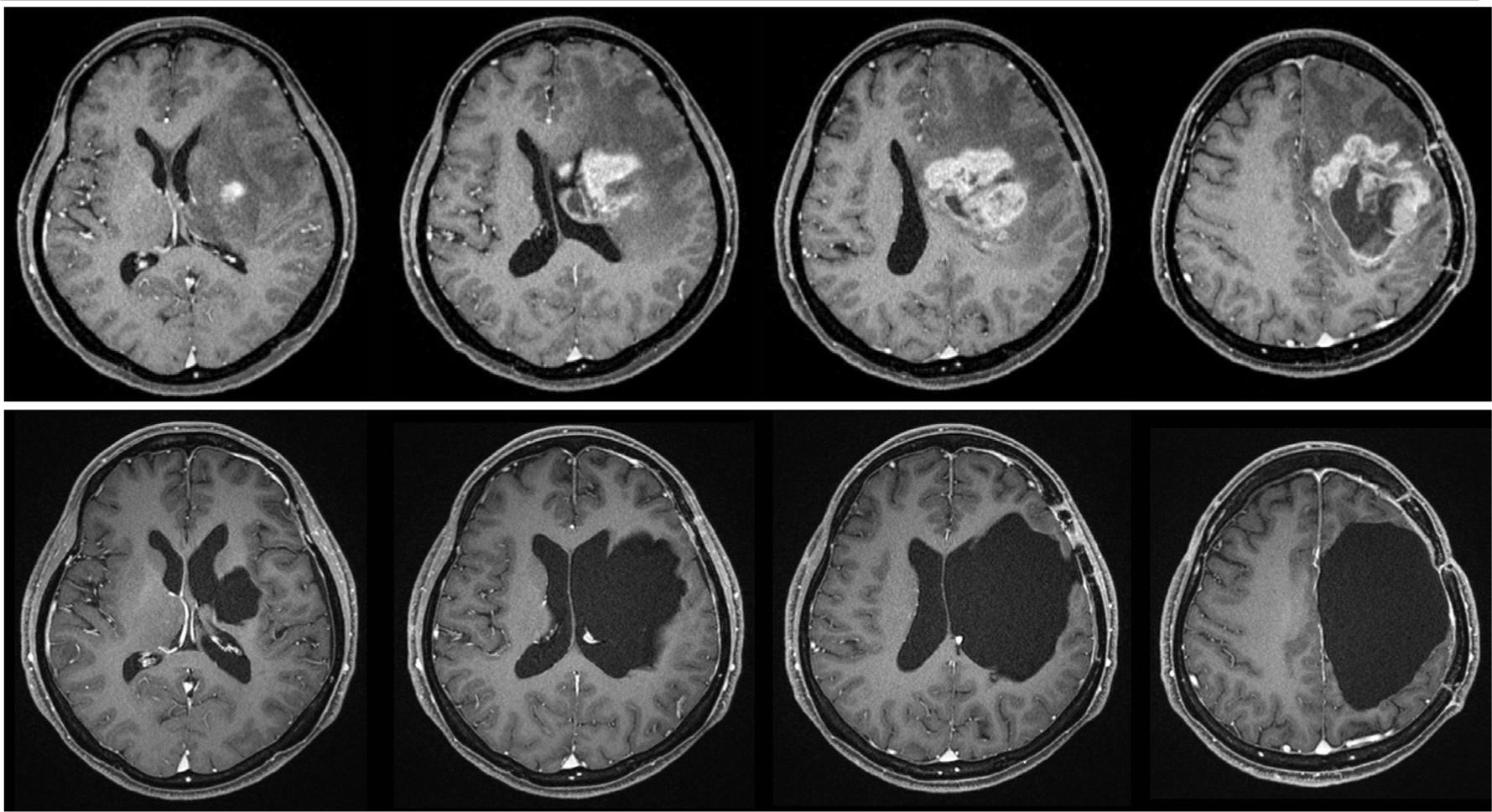
MRI before fifth operation revealing that the enhanced lesion invades to the basal ganglia, left lateral ventricle, splenium, and internal capsule (upper). Postoperative MRI revealing that the enhanced lesion totally disappears.
A fifth surgery was planned. A decision for radical tumor resection together with the surrounding structures was made. The patient and her family consented for postoperative right hemiplegia following surgery in order to improve her chance of survival. Fortunately, her right hemiparesis did not deteriorate after surgery and she could ambulate by herself with a cane, but motor aphasia slightly worsened (video is available). Several radiological investigations were checked after radical removal surgery. An MRI confirmed that the extent of resection extended to the superior and middle frontal gyri, anterior parietal gyrus, cingulate gyrus, corpus callosum, centrum semiovale, coronal radiation, basal ganglia and internal capsule (Figure 3, lower). The MRI tractography, of which the seeding point was placed at the cerebral peduncle, revealed that the pyramidal tract was not demonstrated at all; only fronto-pontine tract and temporo-pontine tract were demonstrated. Functional MRI by the task of right L/E movement (knee extension and flexion) revealed that the hot spot appeared in the left cerebellum and right motor area (Figure 4). However, several hot spots also appeared in the removal cavity suggesting artefact contamination caused by the rough L/E movement task.

MRI after fifth operation. Tractography in which the seeding point is placed at the cerebral peduncle, showing only fronto-pontine tract and temporo-pontine tract (upper). Functional MRI by the task of right knee extension and flexion showing the hot spot not only in the left cerebellum and right motor area but also in removal cavity.
Multichannel NIRS system, OMM3000 (Shimadzu corporation, Kyoto, Japan ) was subsequently ordered and its finding revealed that hot spot location by the same task of right L/E appeared in the right superior frontal gyrus and parietal lobe (Figure 5). We speculated that her right motor function has gradually shifted to the contralateral hemisphere by her long illness course.

Near-infrared spectroscopy after fifth operation. The left figure showing in the rest state and the right figure showing hot spot by the task of right knee extension and flexion in the right superior frontal gyrus and parietal lobe.
She sustained her postoperative clinical status seven months after the fifth tumor removal surgery without tumor regrowth.
In patients like the index case, glioma should be resected as much as possible since the extent of tumor resection has been demonstrated to directly influence the postoperative disease progression free interval and length of patient survival [12]. Intraoperative electrophysiological monitoring, especially using motor evoked potential (MEP) or the awake craniotomy are known to play essential role in protecting the patient’s neurologic condition during surgery but have their limitations [1,5,9,10,13]. Intraoperative electrophysiological monitoring may not necessarily be superior in prevention of surgery related neurological deficit if relied solely on and the warning sign produced by monitoring may not be reliable enough for a decision on whether to abort the procedure or not [2,5].
Brain plasticity is already known and described extensively. Typically, plasticity is associated with slow growing primary brain tumors [7,11]. Recently, studies also revealed similar activity of brain reorganization even in more advanced primary brain tumors, although the extent of this reorganization may be less developed and may not give enough time for much clinical benefit in terms of a more aggressive tumor resection [3,11].
By extension, preoperative determination of plasticity will at least be complementary if not superior to intraoperative neurophysiological monitoring, in safeguarding the eloquent areas from resection during surgery. In this regard, a preoperative prediction of brain plasticity may be a better guide as to the extent of safety of tumor resection.
NIRS and fMRI have almost the same capacity to predict brain plasticity. However, a limitation of fMRI is that it becomes less useful in patients with recurrent tumors due to the alteration in vascular patterns and MR artifacts from the previous surgeries[6]. NIRS utilizes the difference in cerebral blood oxygenated-Hb or deoxygenated-Hb level in its analysis. The major advantage of NIRS is that it can reliably record and localize movements across many joints in the body for its analysis unlike the fMRI that is not very sensitive at detecting movements outside the fingers [8]. NIRS, therefore, may be very useful in overcoming the limitation of fMRI related to poor sensitivity and reliability in registering movements in other joints of the extremities. Furthermore, NIRS does not require head fixation since its recording is not usually affected by artefacts related to minor head movements unlike fMRI. The major limitation of NIRS is that currently it cannot be used intraoperatively and its monitoring is limited to the convexity cortex only.
In the present patient, many hot spots were recorded following fMRI investigation including in the cerebellum, probably influenced by simultaneous head and joint movements. This questioned the reliability of the FMRI result. In this scenario, NIRS may be a very dependable choice for a more reliable opinion. NIRS, therefore, may reliably provide advanced warning of the potential intraoperative risks to the eloquent areas as well as helping in planning surgical approach and the extent of resection. If hot spot is identified reliably at a remote area compared with anatomical area of a lesion following NIRS or fMRI investigation, the lesion may be resected safely without further neurological deficits. It must, however, be highlighted that this may not still perfectly guarantee postoperative preservation of patient’s function. Therefore, the eventual confirmation of brain plasticity relies primarily on postoperative functional status.
It is necessary to study the critical functional reorganization before planned surgery in the eloquent areas. In the present case, the NIRS was only used after the fifth surgery. However, it is possible that if the NIRS was used earlier around the third or fourth perioperative period, with a reliable confirmation of migration of the right motor function to opposite side, the option of a more aggressive tumor removal may have been attempted at that time.
Further clinical studies are required for better understanding of the clinical relevance of NIRS investigation in the pre-operative monitoring for areas of eloquence and the concept of brain plasticity.
NIRS can be a very useful and sensitive tool for predicting the location of eloquent areas and monitoring brain plasticity between surgeries. Further clinical studies are recommended in order to expand the clinical usefulness of NIRS.