VLM syndrome is a parasitic infestation caused by larvae of the dog roundworm (Toxocara canis) or the cat roundworm (Toxocara cati) and Ascaris suum (Maruyama et al., 1996; Dent & Kazura, 2012). Humans become infected by accidental ingestion of embryonated eggs present in soil contaminated with dog feces (Despommier, 2003). Poor personal hygiene, consumption of raw contaminated vegetables and geophagia increase the risk of toxocarosis especially in children (Magnaval et al., 2001). Humans do not act as a definite host but the larvae may migrate throughout the tissues and may activate an eosinophilic inflammatory reaction in different parts of the body (English, 2006; Goldsmid, 2003). Beaver and others first described tissue invasion to the liver by Toxocara larvae (Beaver et al., 1952). Since then, the migrating larvae of Toxocara canis have been found in various organs commonly in lung and liver.
The clinical signs and symptoms in patients with toxocarosis are a direct consequence of the damage caused by migrating larvae and the host’s subsequent inflammatory response. Inflammation presents as eosinophilic granulomas (Arrango, 1998). Common signs and symptoms of toxocarosis include fever, abdominal pain, hepatomegaly, splenomegaly, and lower respiratory tract findings such as cough, dyspnea or bronchospasm (Despommier, 2003). Due to the difficulty in finding the causative parasites, the diagnosis of VLM syndrome is generally based on compatible clinical manifestations, epidemic history, marked eosinophilia, histological examination, immunological test, radiography and computerized tomography (CT), in addition to the disappearance of symptoms after antihelmintic treatment (Turrientes et al., 2011). Herein, we report a case in which the patient was suspected of having VLM syndrome with lung and liver involvement.
A 14-year-old boy living in Assiut, Egypt, was referred and admitted to Chest Department, Assiut University Hospital. The patient came from a rural area. His medical history was clear according to his parents, until 2 weeks before admission, when he developed severe dry cough without dyspnea, mild chest pain, generalized fatigue and abdominal pain. At the time of admission, the vital signs of the patient were as follows: body temperature, 36.9 °C; heart rate, 70 beats/min (regular rhythm); respiratory rate, 18 breaths/ min; and blood pressure, 120/75 mmHg. Lung auscultation revealed abnormal crackles and heart sounds were normal. On abdominal examination, mild tenderness to palpation in the right upper quadrant, there was no lower extremity edema. Neurologic examination did not reveal focal deficits. There was no cervical, axillary or inguinal lymphadenopathy. On admission, hematological examination of peripheral blood showed iron deficiency anemia (Hemoglobin 7.5 g/dl), leukocytosis (40,000 cells/mm3) accompanied by marked eosinophilia (25,000 cells/mm3). Toxocara serology against adult Excretory-Secretory (E/S) antigen of Toxocara canis came positive by using enzyme linked immunosorbant assay (ELISA) according to Havasiova-Reiterova et al. (1995)
Chest X-ray showed an infiltrative shadow in both middle and lower lung fields mainly in the right lung (Fig. 1A). Using Post-Contrast Spiral CT Chest (Fig.1B and C), the chest was scanned in 10mm continuous slices from the rout of the neck caudally to the suprarenal glands. Lung CT showed bilateral multiple sharply defined, smoothly marginated, rounded pulmonary nodules measuring less than 1 cm in diameter with centrilobular pattern and characteristic tree in bud sign. The most predominant two pulmonary nodules demonstrated mainly in the anterior segment of upper lobe and lateral segment of lower lobe of right lung field respectively (indicated by arrows). Chest CT showed clearly patent airways down to the segmental bronchi i.e no endoluminal lesion or extrinsic compression. There is no pleural thickening or effusion and no hilar or mediastinal lymphadenopathy.

(A) Chest X-ray film showing an infiltrative shadow in both the middle and lower lung fields mainly in the right lung. (B) and (C) CT scan images showing bilateral multiple intra-pulmonary focal lesions. The most predominant two pulmonary nodules demonstrated mainly in the anterior segment of upper lobe and lateral segment of lower lobe of right lung field respectively.
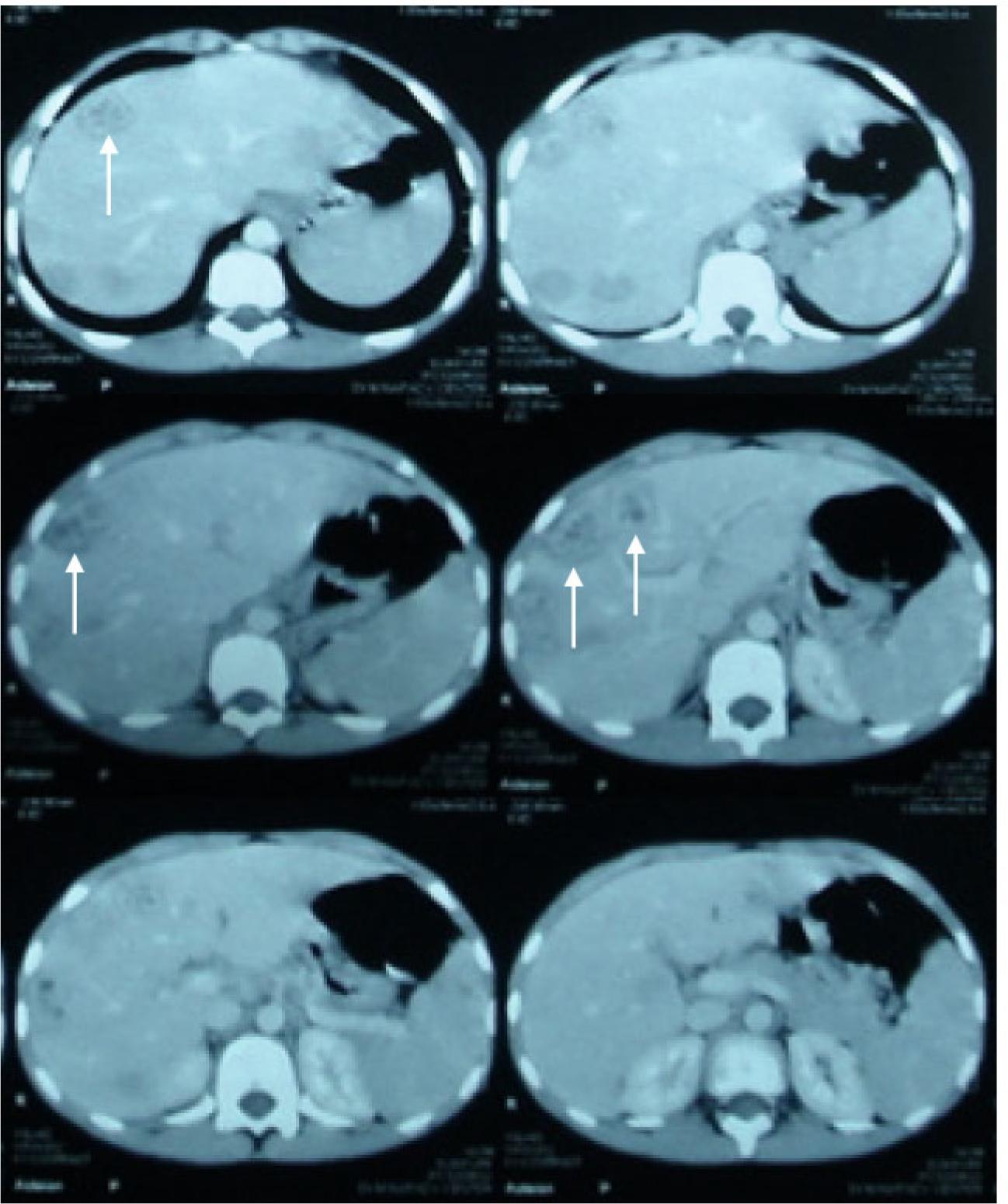
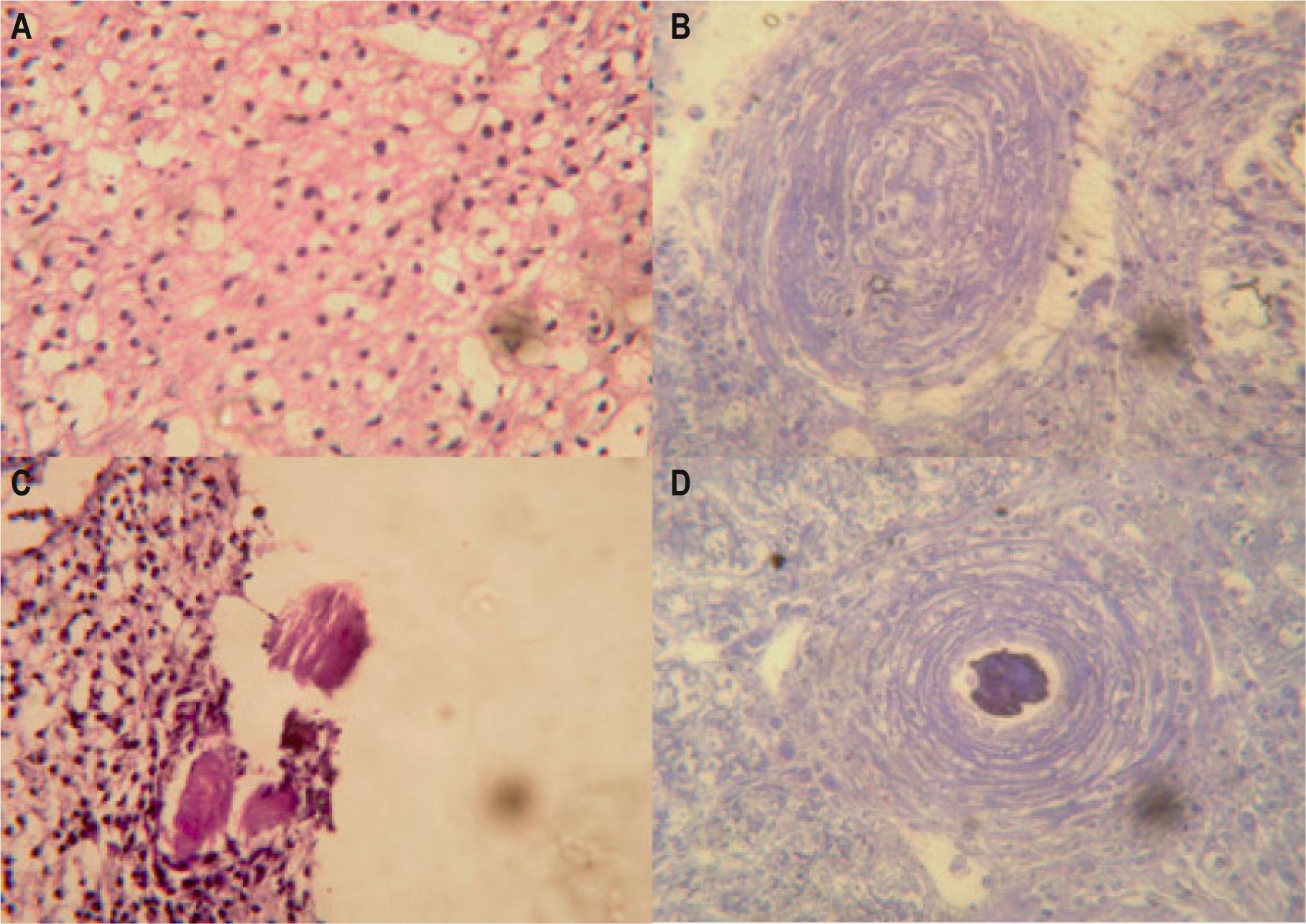
The upper abdominal CT revealed multiple discrete hypodense hepatic focal lesions appeared in both hepatic lobes, more pronounced at right lobe, some of them displaying peripheral ring wall enhancement (indicated by arrows) (Fig. 2). To evaluate the liver findings further, an ultrasound guided liver biopsy was performed. Histopathological analysis of the biopsy showed alteration of the normal architecture of the liver with fatty degeneration of liver cells (Fig. 3A). The biopsy demonstrates multiple inflammatory granulomas with eosinophilic infiltrations in liver tissues (Fig. 3B). The center of the granuloma showed multiple larvae (Fig. 3C and D). Despite symptomatic treatment in the form of antibiotics and antitussive, the patient continued to have severe dry cough. The patient file was referred to Parasitology Department, Assiut University seeking for medical advice. From the clinical manifestation, the detection of anti-Toxocara antibody and the presence of eosinophilic granulomatous lesions in both lung and liver attract the attention to the migrating larvae. These finding were highly suggestive of VLM syndrome. The patient was subsequently treated with albendazole (400 mg orally twice daily) for 2 weeks. There was a significant clinical improvement with resolution of cough, and eosinophilia was gradually subsided. The infiltrative shadows in both lung and liver disappeared completely.

Upper abdominal CT showing multiple discrete hypodense hepatic focal lesions in both hepatic lobes more obvious at right lobe

Histo-pathology of liver biopsy demonstrates. (A) Alteration of the normal architecture of the liver with fatty degeneration of liver cells. Hematoxylin and eosin stain × 40. (B) Multiple eosinophilic granulomas in liver tissues. Hematoxylin and eosin stain × 40. (C) and (D) The larvae appear in the center of the granuloma. Hematoxylin and eosin stain × 40.
VLM is a syndrome caused by the migrating larvae of Toxocara canis or, less commonly by larvae of Toxocara cati and Ascaris suum (Maruyama et al., 1996; Chitkara & Sarinas, 1997). VLM syndrome was described in some children who presented with fever, hepatomegaly, pulmonary infiltration and peripheral eosinophilia as a result of Toxocara canis infection (Beaver et al., 1952; Uhlíková et al., 1996). Because humans are accidental non-specific hosts for Toxocara larvae, the infective third stage larvae hatch in their small intestine and subsequently migrate without growing among the various body organs. The migration of the parasites leads to tissue damage and inflammation with eosinophilic infiltration. Among the visceral organs involved, the liver is the most commonly affected due to the portal venous drainage (Graeff-Teixeira et al., 2009).
VLM syndrome has a worldwide prevalence, although there is a strong prediction for the tropical countries (Chang et al., 2006). The rate of infection is higher in developing countries, but highly under reported due to difficulties in finding the parasites in the tissues. The unavailability and lack of utilization of the available diagnostic methods, combined with a low index of suspicion are probably important underlying factors (Holland et al., 2006).
VLM syndrome is a systemic manifestation of toxocarosis. It is usually an asymptomatic or vaguely symptomatic condition, which is caused by migrating larvae of Toxocara in the liver, lungs, eyes etc. The clinical manifestations of T. canis infections depend on the number of infective eggs, duration of infection, organ affected and the host immune response (Dent & Kazura, 2012). In the present case, the patient had partial clinical manifestations of VLM syndrome involving the pulmonary and hepatic toxocarosis, including fatigue, coughing and abdominal pain. Previous studies mentioned that pulmonary involvement could cause cough, wheeze and dyspnea. These manifestations might mimic to bronchitis, pneumonia, or asthma. In some cases, pulmonary infection has been presented with respiratory failure (Feldman &Worth Parker, 1992; Bartelink et al., 1993), eosinophilic pleural effusions (Jeanfaivre et al., 1996; Ashwath et al., 2004) and pulmonary nodules, acute and chronic eosinophilic pneumonia (Roig et al., 1992; Inoue et al., 2002). The clinical manifestations of VLM syndrome involving the liver included fever, fatigue, abdominal pain and hepatomegaly (Lim, 2008). Hepatic granulomas and abdominal lymph node enlargement were detected (Baldisserotto et al., 1999). Our patient laboratory tests showed the classical findings seen with VLM syndrome such as leukocytosis with notable eosinophilia and hyper-gammaglobulinemia (Arango, 1998; Duprey & Shantz, 2002).
This case confirmed the findings of chest radiography and computed tomography demonstrated in the earlier publications (Inoue et al., 2002; Izumikawa et al., 2011). They have reported that granulomas or abscesses could appear as rounded nodules that are similar in appearance to other inflammatory lesions in chest radiography and lung CT. The sonographic findings of hepatic VLM syndrome were multiple ill-defined oval or elongated small nodular lesions scattered in the liver parenchyma (Holland et al., 2006; Ko et al., 2015). In this study, CT enabled better detectability and estimation of the distribution characteristics and the extent of the lesions than did chest radiography. Furthermore, CT represented unexpected features that chest radiography did not depict. Such features included reactive infiltration, parenchymal destruction, and granuloma or abscess formation.
Histopathological analysis of the prior reports were in a good agreement with our case, as the typical liver biopsy showed central necrosis surrounded by a mixed inflammatory infiltrate with numerous eosinophils and variable numbers of neutrophils, lymphocytes and Charcot-Leyden crystals (Kaplan et al., 2001; Morii et al., 2015). In the present case, the previous findings were highly suggestive of VLM syndrome, and the diagnosis was confirmed by the positive results of Toxocara serology and the presence of larvae in the center of the granulomas.
The clinical symptoms of our patient resolved completely after recommended anthelmintic treatment, the eosinophil count decreased and the infiltrative shadow disappeared completely. No recurrence was observed after discharge of the patient.
According to the available literature, it seems that the present case reported for the first time in Egypt a hepatopulmonary VLM syndrome.
The symptomatology of VLM syndrome is similar to the definable parasitic and nonparasitic diseases so that the physicians and the patients alike usually ignore the milder symptoms of VLM syndrome. We present a case that was discovered accidently; we made a diagnosis of VLM syndrome by clinical manifestation, remarkable eosinophilia, chest radiography, and pulmonary and hepatic computerized tomography. Furthermore, the detection of anti-Toxocara antibody and the patient’s positive clinical response to anthelmintic therapies with albendazole confirmed the diagnosis of VLM syndrome. Finally, public education about the sources of Toxocara infection is a priority.