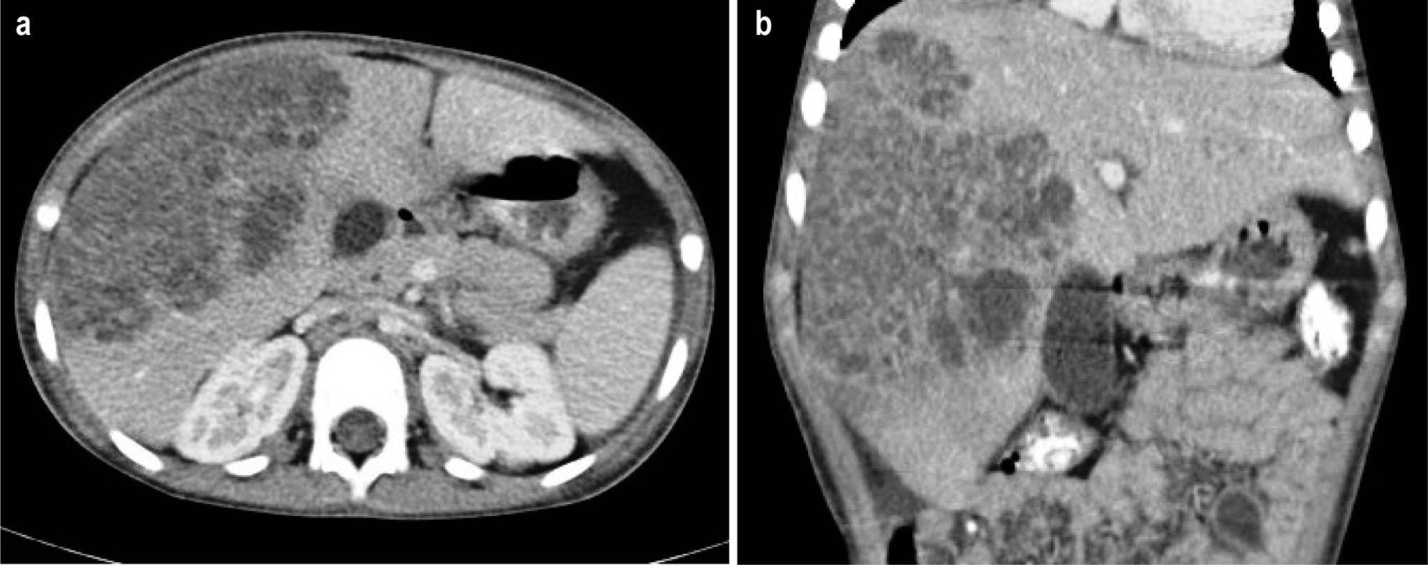
Fig. 1

Fig. 2

Trends of laboratory tests results
| PARAMETER | Refer. values | Day 1 | Day 3 | Day 7 | Day 11 | Day 14 | Day 21 | 
|---|---|---|---|---|---|---|---|
| Leukocytes (per mm3) | 4.5 – 13 | 20.53 | 40.85 | 37.89 | 35.82 | 13.09 | 14.21 | 
| Neutrophils (per mm3) | 1.8 – 7.0 | 14.74 | 32.05 | 30.17 | 27.27 | 9.65 | 7.47 | 
| Haemoglobin (g/l) | 118 – 150 | 104 | 106 | 81 | 80 | 105 | 102 | 
| Platelets (per mm3) | 150 – 440 | 248 | 450 | 844 | 1250 | 998 | 723 | 
| C-reactive protein (mg/l) | < 5 | 169.9 | 133.9 | 215.7 | 118.9 | 71.8 | 22.3 | 
| Gama glutamine transferase (μkat/l) | 0.08 – 0.4 | 1.0 | 1.24 | 3.44 | 6.09 | – | 4.95 | 
| Alanine aminotransferase (μkat/l) | 0.05 – 0.78 | 1.25 | 0.73 | 0.41 | 0.28 | – | 0.21 | 
| Albumin (g/l) | 35 – 53 | 27.9 | 28.7 | 30.3 | 35.5 | – | – | 
| Procalcitonin (μg/l) | < 0.5 | – | – | 3.25 | 6.69 | 0.789 | 0.12 | 
Results of serological and parasitological examinations
| EXAMINATION | PARAMETER/TEST | RESULT | 
|---|---|---|
| PARASITOLOGICAL | E. multilocularis PCR (liver sample) | POSITIVE | 
| E. granulosus IgG antibodies | Negative | |
| E. multilocularis IgG antibodies | Negative | |
| Toxocara IgG antibodies | POSITIVE | |
| Toxoplasma IgG antibodies | POSITIVE | |
| Parasitological stool examination | Ascaris lumbricoides Trichuris trichiura | |
| BACTERIOLOGICAL | Microbiological cultivation (liver sample) | Staphylococcus aureus | 
| Mycobacterium tuberculosis PCR (liver sample) | POSITIVE | |
| Mycobacterium tuberculosis Tests (Quantiferon test; Tuberculin Skin test; Microscopy and cultivation for Acid-fast bacilli from respiratory and gastric aspirates; SPOT assay) | Negative | |
| Yersinia enterocolitica | Negative | |
| Hemo-culture S. maltophilia detected on day 12; former hemo-cultures were negative | Stenotrophomonas S. maltophilia detected on day 12; former hemo-cultures were negative | |
| VIROLOGICAL | Cytomegalovirus | Negative | 
| HIV test | Negative | |
| Viral hepatitis | Negative | |
| Epstein-Barr virus | Negative | |
| FUNGAL | Candida mannan antigen | POSITIVE |