The green turtle Chelonia mydas can be found from the tropics to the temperate zones, with coastal habits, i.e. it is often observed along the coast and in estuaries of river and lakes. Along the Brazilian coast, oceanic islands such as the island of Trinidad (State of Espirito Santo), Atol das Rocas (State of Rio Grande do Norte) and Fernando de Noronha (State of Pernambuco) are their main breeding areas. Hovewer, secondary spawning may occur on the Brazilian coast as well as on the north coast of Bahia. Less frequently nests occur in the states of Espírito Santo, Sergipe and Rio Grande do Norte. Non-reproductive events are recorded along the coast of Brazil and on the islands (Almeida et al., 2011). According to the International Union for Conservation of Nature (IUCN), the C. mydas species is currently classified as vulnerable in Brazil, but its conservation status is also threatened internationally (IUCN, 2014).
For the management and conservation of this species, the establishment of death cause is an important point of concern. Therefore, further research has to be conducted to identify the causes of stranding and death of these animals. This includes parasitosis andassessment the potential contribution of this disease on the turtles’ presence on beaches (Dutra et al., 2012).
In Espírito Santo State, Brazil, there is no conclusive information regarding major diseases that affect sea turtles. Studies about parasitic diseases and associated lesions assist in the establishment of accurate diagnoses and appropriate prophylactic management. Studies in Brazil evaluating parasites in C. mydas, such as those conducted by Werneck (2007, 2011) have provided a baseline data, but we were not able to confirm that the parasites contributed to the death of sea turtles.
The aim of this study was to evaluate the helminth fauna of green turtle and describe the tissue lesions in infected animals found in State of Espirito Santo, Brazil.
The animals used in this study were found dead on the beaches, or have died during treatment and rehabilitation.
Retrospective and prospective studies were conducted. For the retrospective study, the records providing a profile of each necropsied turtle from July 2013 to July 2014 were used. The data included sex, curved carapace length (CCL), the absence or presence of parasites, body condition, presence of tumors, anthropogenic waste, epibionic load and the probable cause of death.
In a prospective study, 50 turtles were chosen from the 212 necropsied turtles, for collecting and processing of adult helminths and 16 for collection and processing of tissue samples. Parasites found were fixed in 10 % neutral formalin and placed in glacial acetic acid solution PA 99.8 % (Proquimios, RJ, Brazil) to induce clarification. Thereafter, the cleared parasites were stained in hydrochloric carmine for about two minutes (Monteiro, 2011) and dehydrated in an alcohol series (70, 80, 90 % and absolute alcohol), with duration of 10 minutes each. After that, helminths were placed for ten minutes in beech creosote (Vetec, RJ, Brazil) for diaphanization. Finally the parasites were mounted in natural Canadian balsam (Alphatec, SP, Brazil) and identified.
The tissues collected were brain, salt glands, heart, lungs, esophagus, stomach, small and large intestines, pancreas, liver, spleen, adrenal, kidney, bladder, skeletal muscle and skin. All fragments were fixed in 10 % neutral-buffered formalin, embedded in paraffin wax, sectioned (4 μm) and stained with haematoxylin and eosin (HE). After that the fragments were subjected to histopathological analysis with observation under a light microscope (model CX41RF, OLYMPUS OPTICAL CO.LTD., made in Philippines). For the evaluation of the results obtained, descriptive statistics was used to examine the association between parasitism and general health condition of the turtles. Nonparametric chi-square test and Yates correction, level of 0.05 were employed (Ayres et al., 2007). The sample collections were conducted according to the System Authorization and Information on Biodiversity (SISBIO number 39329-1).
ETHIC: The ethics committee on animal use (CEUA) at the Federal University of Espirito Santo approved this study under protocol number 53/2015.
In retrospective study from total of 212 records 50.0 % turtles (106/212) were parasitized. According to the physical condition of the animals, the evaluation of body condition (body condition score poor, intermediate and good), 43.0 % (47/106) of infected animals had a poor body condition, 27.0 % (29/106) had intermediate body condition and 29.0 % (30/106) were in good health. In this study there was no statistical association between the weakness (poor body condition) and parasitism (X2 = 2.88 and p = 0.089), but the parasitism was considered the probable cause of death in 35 of 212 (16.5 %) turtles necropsied as reported by the appropriate records that were filled by the company CTA (Center of Technology in Aquaculture).

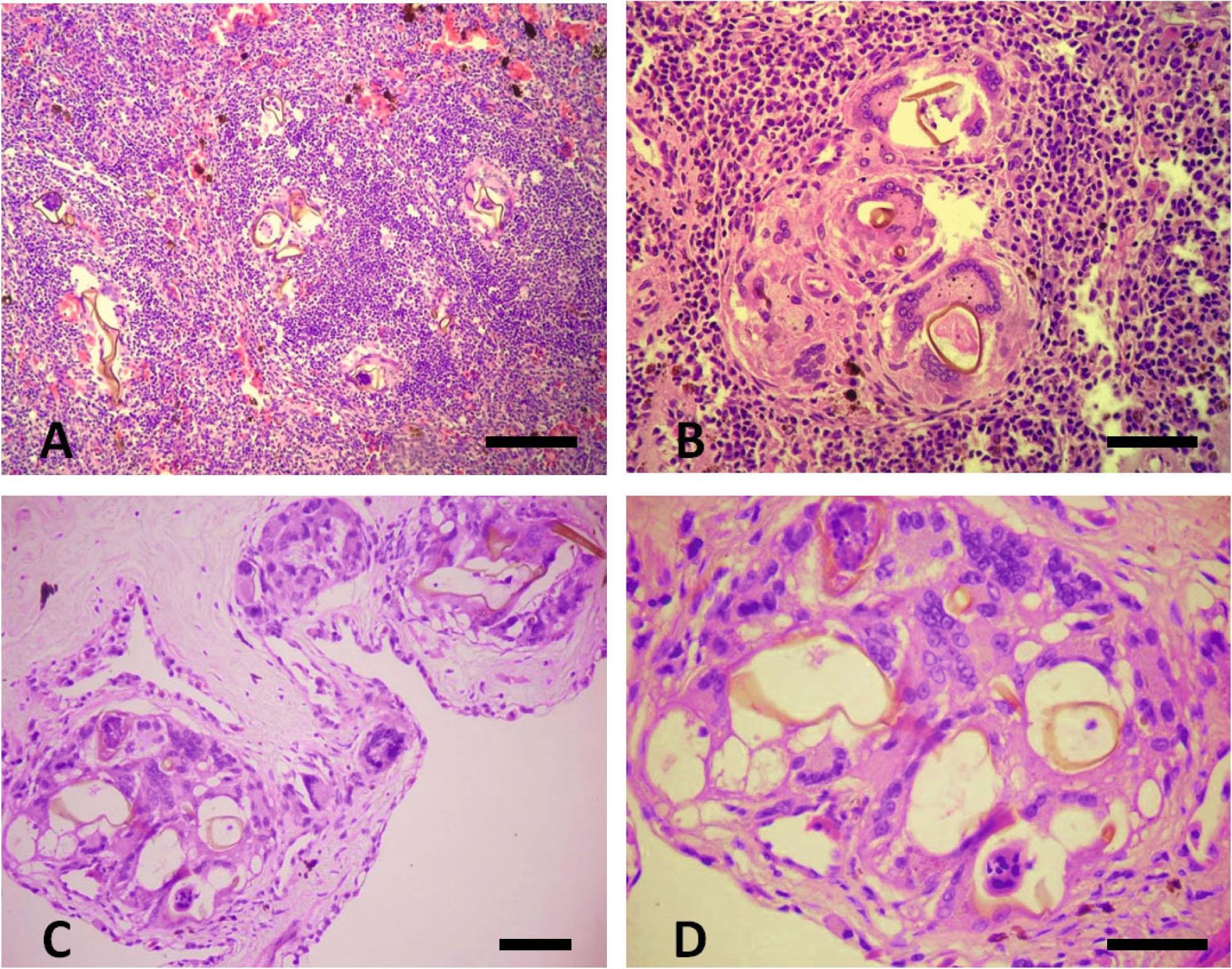
Description of the histopathological lesions observed in the spleen and lungs of the C. mydas. A and B - Spleen with intact and degenerated eggs, with or without giant cells, multifocal distribution to coalescing intense. C and D - Lungs with intact and degenerated eggs, with or without giant cells, moderated multifocal distributed lesions. HE, Bars, A = 100 μm, B, = 50μm, C = 30μm, D = 20 μm
In the prospective study, in which 50 turtles were parasitized, seven trematoda families covering 19 different helminths species, and one ectoparasite, a species of leech, Ozobranchus branchiatus (Table 1) were identified,. Adult parasites were recovered from the following organs: stomach, small and large intestines, bladder and blood vessels.
Helminths identified in Chelonia mydas from the South coast of Espírito Santo, prevalence in turtles and organs of origin of parasites
| Families | Species of helminths | N(1) (%) | Organs |
|---|---|---|---|
| Calycodidae | Calycodes anthos | 2 % | SI(2) and LI(3) |
| Cladorchiidae | Schizamphistomum sp. | 6 % | SI |
| Gongoderidae | Plesiochorus cymbiformes | 2 % | SI and LI |
| Microscaphidiidae | Angiodictyum longum | 2 % | Stomach |
| Neoctangium travassosi | 30 % | LI | |
| Polyangium linguatula | 2 % | SI | |
| Spirorchiidae | Learedius learedi | 16 % | Heart |
| Pronocephalidae | Pronocephalus trigonocephalus | 8 % | SI |
| Ruicephalus minutus | 2 % | Stomach | |
| Charaxicephalus robustus | 4 % | Stomach | |
| Cricocephalus albus | 30 % | Stomach | |
| Cricocephalus megastomum | 4 % | SI | |
| Glyphicephalus lobatos | 4 % | Stomach | |
| Metacetabulum invaginatum | 52 % | SI | |
| Pleurogonius linearis | 4 % | SI and LI | |
| Pleurogonius longiusculus | 4 % | SI and LI | |
| Pronocephalus obliquus | 22 % | SI and LI | |
| Pyelosomum cochlear | 8% | Bladder | |
| Telorchiidae | Orchidasma amphiorchis | 6 % | SI and LI |
Regarding the histopathological analysis of the tissues, it was observed that the spleen and the lungs were the organs that had the highest number of eggs, intact or degenerated, with or without giant cells. Spleen exhibited multifocal distribution of coalescing intense lesions (Fig. 1A, 1B,), and the lungs presented similar injuries with severe multifocal distribution (Fig. 1C, 1D). The remaining organs (skeletal striated muscles, small and large intestines, kidney, salt glands, liver, stomach, esophagus, cardiac muscle, pancreas, skin and adrenal glands) contained comparable but milder lesions. The brain had intravascular parasitic forms and this was the only organ where both eggs and adults forms were found.
The most commonly observed parasite was Metacetabulum invaginatum, followed by Neoctangium travassosi, Cricocephalus albus and Pronocephalus obliquus (Table 2). A similar result was found by Werneck (2011) where Learedius learedi was the most prevalent. This was followed by C. albus, M. invaginatum, N. travassosi and Neospirorchis schistosomatoides what also resembles records from research conducted by Werneck (2007) where the most prevalent were N. travassosi, Deuterobaris proteus and M. invaginatum. Thus, it is concluded that M. invaginatum and N. travassosi including the species C. albus and P. obliquus are the most often species found in C. mydas on Brazilian coast and the coast of Espirito Santo.
The most represented family was Pronocephalidae with 11 species identified.This result is similar to that of Santoro et al. (2006) and Werneck (2011), who described15 and 14 species of this family, respectively.
Werneck (2007, 2011) found that 53.2 % of the analyzed green turtles had parasites. The subsequent study of Werneck (2011) reported 50.7 % of C. mydas infected with parasites from Brazil. These results give support to our study and demonstrate that turtles of this species harbor parasites frequently.
Relating to the association of species, Werneck (2007) found that 39.4 % of turtles exhibited only one species of parasite and 60.6 % with association. Thus resembling study where 58.5 % (62/106) harbored parasites in more than one location. Most of the turtles had more than one species of helminth parasite and it is likely that this contributed to deterioration of body condition. Due to the parasite’s life cycle and its way of feeding, the turtle may suffer more with this association.
In this study there was no statistical association between the weakness (bad body condition) and parasitism. Werneck (2007) reported that from 33 of parasitized turtles, four (12.1 %) showed signs of weakness and 29 (87.9 %) were tangled in fishing nets and drowned. Regardless of the parasitism, most of rescued turtles that were parasitized showed no signs of weakness. Despite the results in both studies the authors suggest that more research has to be performed.
Santoro et al. (2006) found trematodes of 29 species in six families, where 12 of these species coincided with the findings of this study; Werneck (2007) reported nine species and three families, where seven species also were detected in our study. Finally, Werneck (2011) reported 30 species in nine families and unidentified larval nematodes. Fourteen of previously reported species overlap with our study. This demonstrates that in the face of studies being conducted in different states and countries there is a similarity in the findings in parasite species, suggesting that these animals possibly attended the same feeding grounds, where they acquired the infective form of these trematodes.
Santoro et al. (2007) found that the lesions associated with parasites of Spirorchiidae family consisted of acute and chronic inflammation, where the presence of syncytial giant cells and lymphocytic infiltrate surrounded by reactive fibrosis was found. Mixed bacterial colonies were often detected in association with parasites and their eggs in cardiovascular, gastrointestinal and lungs tissues. With the exception that we did not detect bacterial colonies associated with fluke eggs similar tissue pathology was observed.
In our research, we found eggs in all collected tissues. The fact observed also by the other authors, as Santoro et al. (2007). Aguirre et al. (1998) affirmed that nearly all skin fibropapillomas found in turtles studied in Hawaiian Islands contained granuloma with trematode eggs.
In the current research, even when dealing with young animals, injuries caused by the eggs of parasites probably did not contribute to the eventual death. This fact was also observed by Innis et al. (2009), who reported that the severity of diagnosed lesions were not sufficient to cause the death of the animals. Thus suggesting additional factors such as metabolic disorders, respiratory, electrolytic, hypothermia and drowning are involved. Injuries caused by the eggs of parasites are found quite often. They are not isolated and possibly contributed to the death of these animals. Santoro et al. (2007) concluded that injuries caused by Spirorchiidae produced a little impact on the health of adult animals. However, such injuries could contribute to stranding and death of young animals due to undeveloped acquired immunity.
In our study, 19 of 212 turtles had L. learedi adults inside blood vessels, showing that Spirorchiidae are not common in turtles from southern Espirito Santo. In a survey conducted by Santoro et al. (2006) the authors reported that four species of Spirorchiidae, among them L. learedi, infected more than 50.0 % of the evaluated hosts. This species was the most prevalent (92.5 %) and the second most abundant parasite. The same authors reported a study with 47 turtles from the Caribbean (Santoro et al. 2007), in which 39 turtles were infected with Spirorchiidae parasites as well as L. learedi. In research conducted by Werneck (2011), where 171 green turtles were analyzed five species of Spirorchiidae and L. learedi with the prevalence of 27.83 % were found.
The helminth fauna in turtles that inhabit the coast of Espírito Santo consists mainly of flukes, but these infections were not related to the weakness or death of animals.
= prevalence (n= 50 turtles);
SI = small intestine;
LI = large intestine