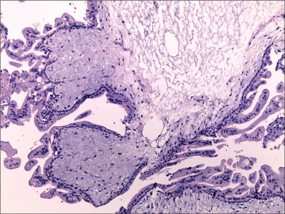
Figure 1

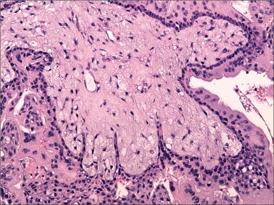
Figure 2

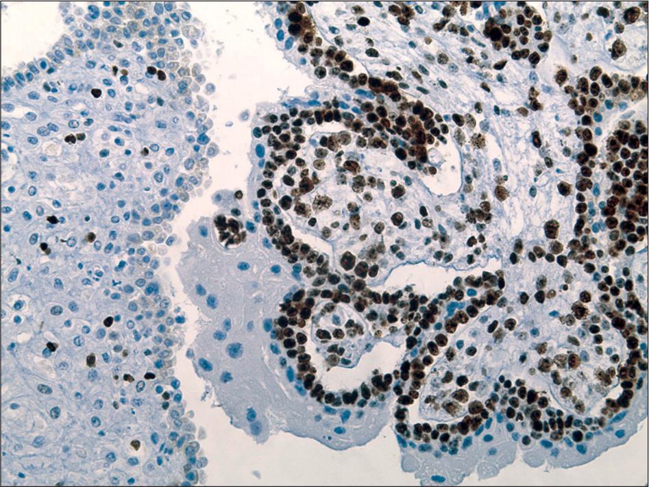
Figure 3

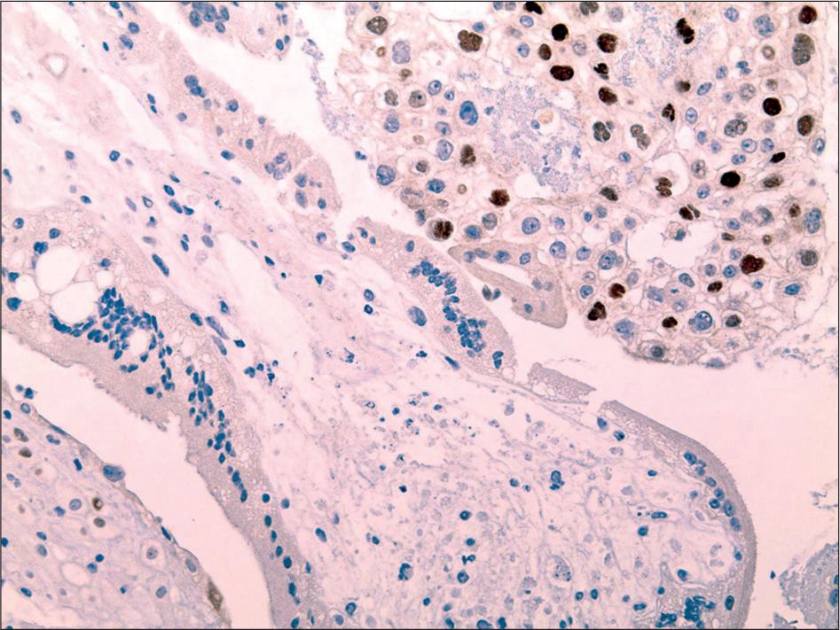
Figure 4

Figure 5

Histopathological characteristics of complete mole_
| Complete Mole | Absent or | Complete |
|---|---|---|
| Heterogenous population of villi | absent | 0 (0.0) |
| Circumferential trophoblastic proliferation | absent | 1 (12.5) |
| Cytotrophoblastic proliferation | absent | 3 (37.5) |
| Nuclear atypia | absent | 0 (0.0) |
| Karyorrhectic stromal debris | absent | 6 (75 0) |
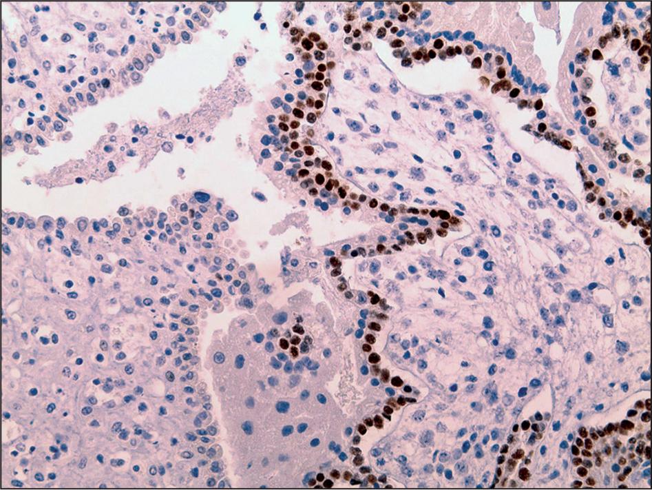
Immunohistochemical characteristics of complete moles_
| Positive Cells (%) | Ki-67 | p63 | p57 |
|---|---|---|---|
| n (%) | n (%) | n (%) | |
| 0 | 0 (0.0) | 0 (0.0) | 8 (100) |
| 10 | 0 (0.0) | 0 (0.0) | 0 (0.0) |
| 20 | 0 (0.0) | 0 (0.0) | 0 (0.0) |
| 30 | 0 (0.0) | 0 (0.0) | 0 (0.0) |
| 40 | 0 (0.0) | 0 (0.0) | 0 (0.0) |
| 50 | 0 (0.0) | 0 (0.0) | 0 (0.0) |
| 60 | 0 (0.0) | 3 (37.5) | 0 (0.0) |
| 70 | 4 (50.0) | 2 (25.0) | 0 (0.0) |
| 80 | 3 (37.5) | 3 (37.5) | 0 (0.0) |
| 90 | 1 (12.5) | 0(0.0) | 0 (0.0) |
| 100 | 0 (0.0) | 0(0.0) | 0 (0.0) |
Primary antibodies with clones and dilutions_
| Primary Antibody (producer) | Clone | Dilution |
|---|---|---|
| Monoclonal mouse anti-human | MIB-1 | RTU |
| Monoclonal mouse primary | 4A4 | RTU |
| Monoclonal mouse Primary | Kip2 | 1:50 |
Histopathological characteristics of partial mole_
| Partial Mole Characteristics | Absent or | Complete |
|---|---|---|
| Two types of villi | absent | 8 (100.0) |
| Irregular villus contours | absent | 0(0.0) |
| Trophoblastic stromal inclusions | absent | 7(87.5) |
| Focal trophoblastic proliferation | absent | 7(87.5) |
| Presence of fetal erythrocytes | absent | 8 (100.0) |