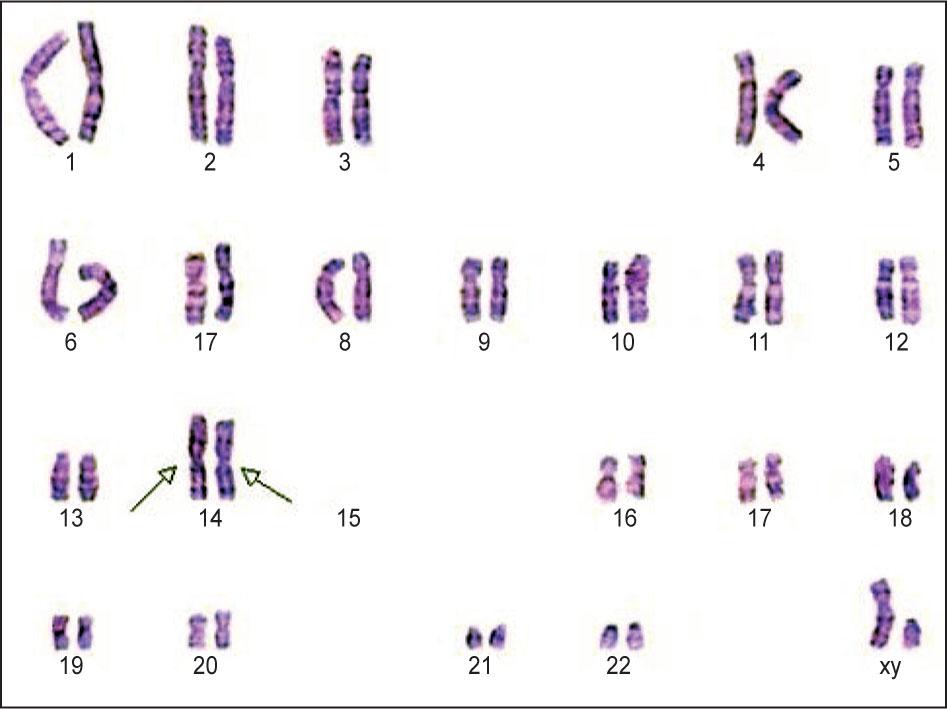
Figure 1

Figure 2

Cytogenetic and spermiologic results of patients and controls_
| Patient | Karyotype | Age (years) | Sperm Concentration (106/L) | Motility Sperm motility was graded from a to d, according to the WHO manual criteria, as follows. Grade a (fast progressive) sperms are those that swim forward fast in a straight line, like guided missiles. Grade b (slow progressive) sperms swim forward, but either in a curved or crooked line, or slowly (slow linear or non linear motility). Grade c (non progressive) sperms move their tails, but do not move forward (local motility only). Grade d (immotile) sperms do not move at all. The (a+b)% represent the percentage of sperm that can move forward normally. |
|---|---|---|---|---|
| P1 | 44, XY, der(14;15)(q10;q10), der(14;15)(q10;q10) | 25 | 56.0 | 53.0 |
| P2 | 45, XY, der(14;15)(q10;q10) | 48 | 13.0 | 22.0 |
| P3 | 45, XY, der(13;14)(q10;q10) | 29 | 19.0 | 25.0 |
| P4 | 45, XY, der(13;14)(q10;q10) | 31 | 22.0 | 17.0 |
| P5 | 45, XY, der(13;14)(q10;q10) | 27 | 38.0 | 21.0 |
| P6 | 45, XY, der(13;14)(q10;q10) | 35 | 57.0 | 59.0 |
| P7 | 45, XY, der(13;14)(q10;q10) | 33 | 89.0 | 38.0 |
| P8 | 45, XY, der(13;14)(q10;q10) | 30 | 35.0 | 29.0 |
| P9 | 45, XY, der(14;21)(q10;q10) | 36 | 40.0 | 35.0 |
| P10 | 45, XY, der(14;21)(q10;q10) | 32 | 37.0 | 36.0 |
| P11 | 45, XY, der(14;21)(q10;q10) | 26 | 42.0 | 45.0 |
| P12 | 45, XY, der(13;22)(q10;q10) | 26 | 28.0 | 39.0 |
| P13 | 45, XY, der(21;22)(q10;q10) | 29 | 31.0 | 47.0 |
| C1 | 46, XY | 35 | 77.0 | 44.0 |
| C2 | 46, XY | 27 | 62.0 | 47.0 |
| C3 | 46, XY | 33 | 43.0 | 39.0 |
Incidence of sperm nullisomy, disomy and diploid for chromosomes 18, X and Y in 13 Robertsonian translocation carriers and three controls_
| Normal/Balanced | Nullisomy 18 | Disomy 18 | Nullisomy Sex Chromosome | Disomy Sex Chromosome | 3:0 or Diploid | Unbalanced | Total | |
|---|---|---|---|---|---|---|---|---|
| P1 | 994 | 0 | 1 | 2 | 3 | 0 | 6 | 1000 |
| P2 | 949 | 3 | 2 | 15 | 10 | 21 | 41 | 1000 |
| P3 | 899 | 6 | 5 | 22 | 21 | 47 | 101 | 1000 |
| P4 | 952 | 4 | 5 | 17 | 12 | 10 | 48 | 1000 |
| P5 | 913 | 11 | 9 | 13 | 15 | 39 | 87 | 1000 |
| P6 | 947 | 7 | 2 | 15 | 17 | 12 | 53 | 1000 |
| P7 | 955 | 9 | 12 | 10 | 5 | 9 | 45 | 1000 |
| P8 | 901 | 21 | 13 | 24 | 19 | 22 | 99 | 1000 |
| D/D mean | 931 | 8.7 | 6.9 | 16.6 | 14.1 | 22.9 | 67.7 | |
| P9 | 976 | 3 | 4 | 4 | 2 | 11 | 24 | 1000 |
| P10 | 985 | 2 | 1 | 3 | 6 | 3 | 15 | 1000 |
| P11 | 963 | 6 | 4 | 9 | 11 | 7 | 37 | 1000 |
| P12 | 944 | 7 | 5 | 8 | 11 | 25 | 56 | 1000 |
| D/G mean | 967 | 4.5 | 3.5 | 6.0 | 7.5 | 11.5 | 33.0 | |
| P13 | 977 | 7 | 6 | 1 | 4 | 5 | 23 | 1000 |
| C1 | 995 | 0 | 2 | 1 | 1 | 1 | 5 | 1000 |
| C2 | 997 | 1 | 0 | 2 | 0 | 0 | 3 | 1000 |
| C3 | 991 | 0 | 2 | 3 | 1 | 3 | 9 | 1000 |
| Control mean | 994 | 0.3 | 1.3 | 2.0 | 0.7 | 1.3 | 5.7 |
The number of spermatozoa scored, the alternate mode of segregation, incidence of sperm nullisomy, disomy and 3:0/diploid for the chromosomes involved in the Robertsonian translocation in 13 Robertsonian translocation carriers and three controls_
| Normal/Balanced | Nullisomy A | Disomy A | Nullisomy B | Disomy B | 3:0 or Diploid | Unbalanced | Total | |
|---|---|---|---|---|---|---|---|---|
| P1 | 997 | 2 | 0 | 0 | 0 | 1 | 3 | 1000 |
| P2 | 799 | 41 | 49 | 55 | 45 | 11 | 201 | 1000 |
| P3 | 852 | 24 | 57 | 34 | 26 | 7 | 148 | 1000 |
| P4 | 809 | 68 | 30 | 55 | 29 | 9 | 191 | 1000 |
| P5 | 843 | 40 | 39 | 27 | 41 | 10 | 157 | 1000 |
| P6 | 757 | 55 | 37 | 94 | 42 | 15 | 243 | 1000 |
| P7 | 837 | 29 | 66 | 34 | 21 | 13 | 163 | 1000 |
| P8 | 782 | 75 | 61 | 49 | 22 | 11 | 218 | 1000 |
| D/D mean | 811 | 47.0 | 48.0 | 50.0 | 32.0 | 11.0 | 189.0 | |
| P9 | 775 | 41 | 50 | 70 | 45 | 19 | 225 | 1000 |
| P10 | 721 | 66 | 37 | 110 | 45 | 21 | 279 | 1000 |
| P11 | 704 | 47 | 56 | 73 | 95 | 25 | 296 | 1000 |
| P12 | 719 | 69 | 75 | 62 | 58 | 17 | 281 | 1000 |
| D/G mean | 730 | 56.0 | 55.0 | 79.0 | 61.0 | 21.0 | 270.0 | |
| P13 | 768 | 47 | 51 | 42 | 80 | 12 | 232 | 1000 |
| C1 | 995 | 0 | 2 | 1 | 1 | 1 | 5 | 1000 |
| C2 | 997 | 1 | 0 | 2 | 0 | 0 | 3 | 1000 |
| C3 | 995 | 0 | 2 | 0 | 1 | 2 | 5 | 1000 |
| Control mean | 996 | 0.3 | 1.3 | 1.0 | 0.7 | 1.0 | 4.3 |