Have a personal or library account? Click to login
Atypical complication in an adult patient with dengue and autoimmune hemolytic anemia: a case report Cover

Atypical complication in an adult patient with dengue and autoimmune hemolytic anemia: a case report

Open Access
|Feb 2021

Figures & Tables

Figure 1

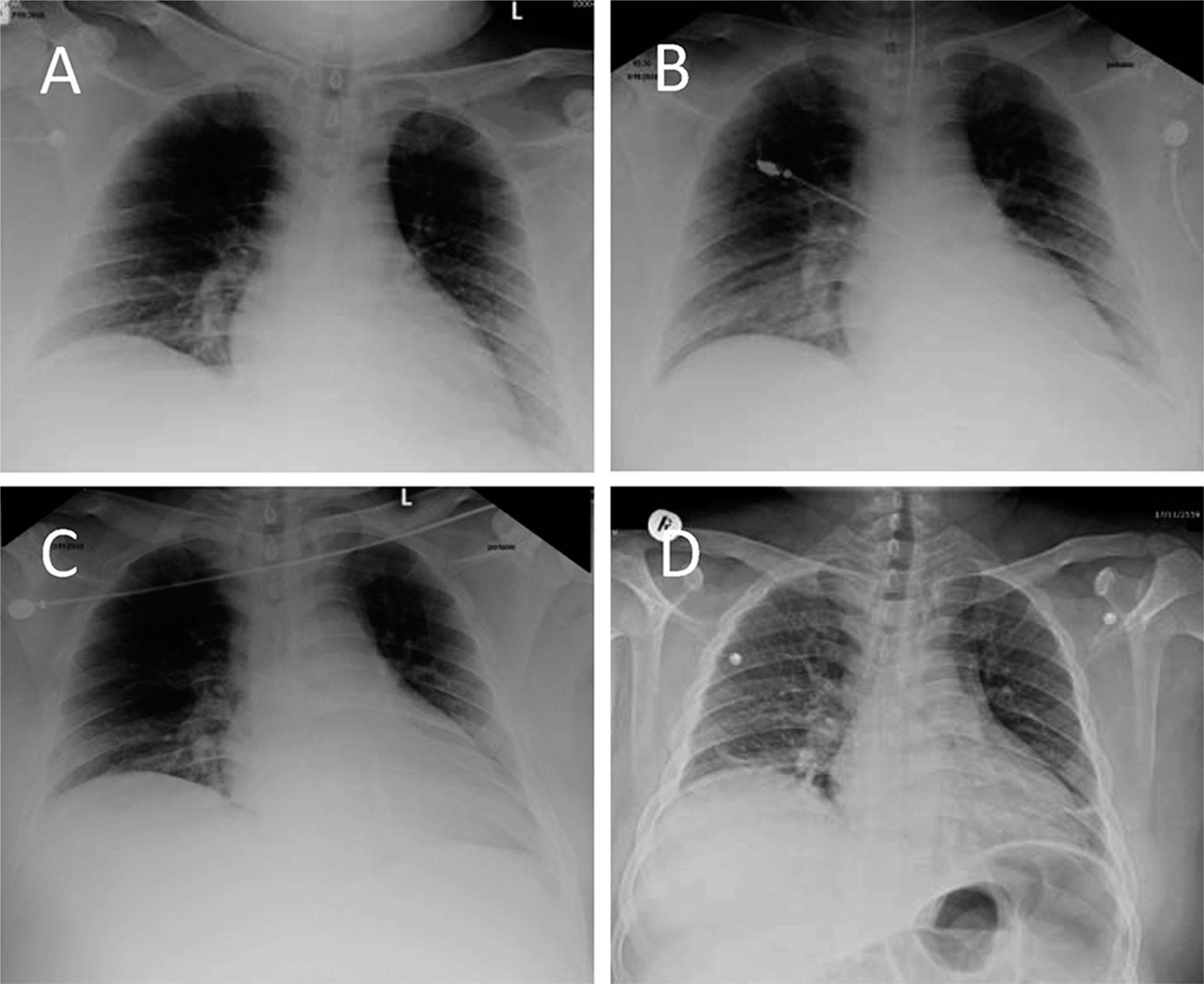
A. Posterior–anterior chest X-ray image demonstrating a slight radiographic sign that suggests interstitial pulmonary edema. B. Supine radiogram demonstrating redistribution of lung circulation from base to middle, suggestive of pulmonary congestion. C. Endotracheal tube inserted after persistent pulmonary congestion. D. Posterior–anterior chest X-ray image showing with normal lung marking and heart size.
A. Posterior–anterior chest X-ray image demonstrating a slight radiographic sign that suggests interstitial pulmonary edema. B. Supine radiogram demonstrating redistribution of lung circulation from base to middle, suggestive of pulmonary congestion. C. Endotracheal tube inserted after persistent pulmonary congestion. D. Posterior–anterior chest X-ray image showing with normal lung marking and heart size.

Figure 2

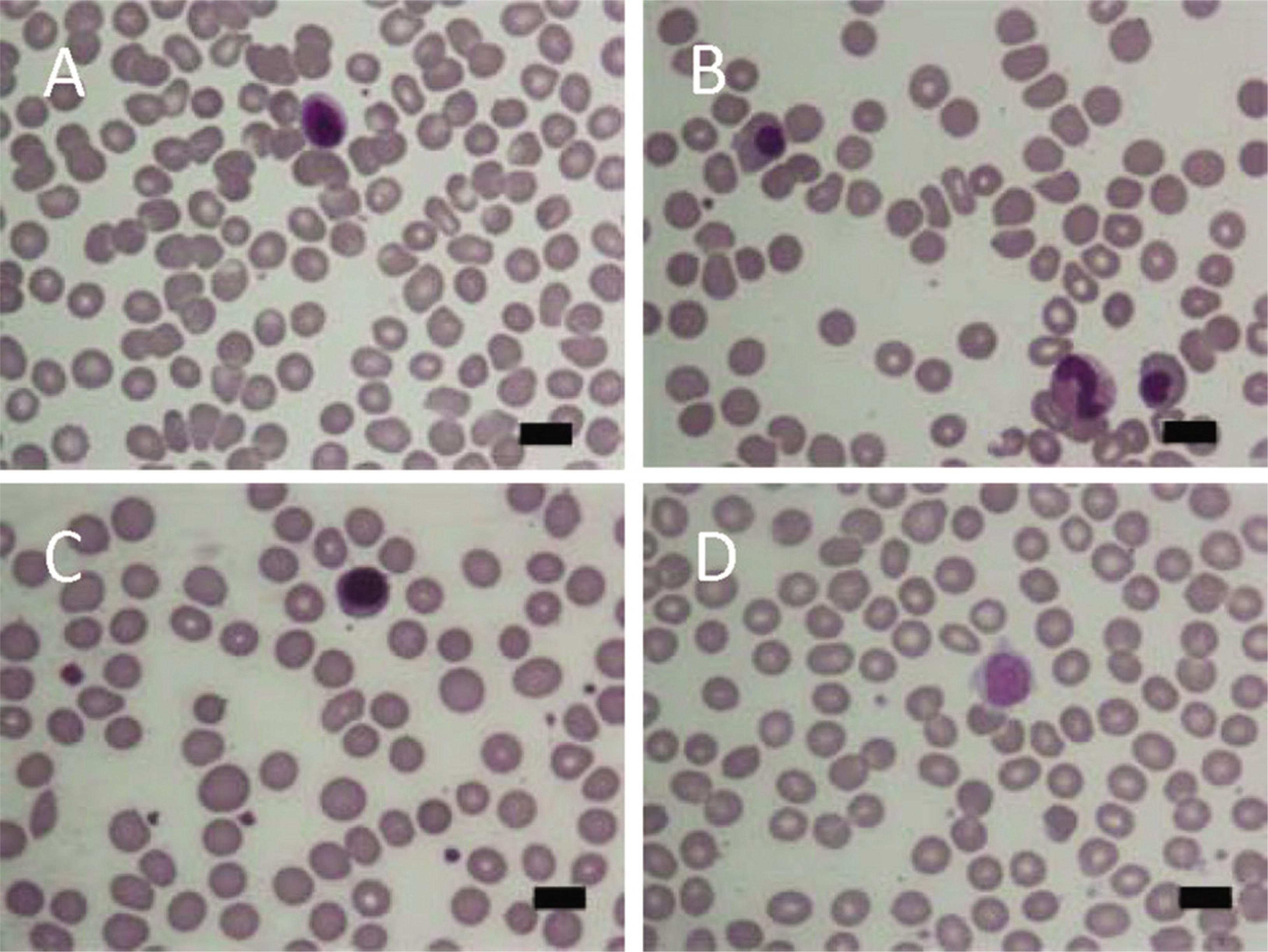
A. Peripheral blood smear during febrile phase showing normochromic and normocytic red blood cells, white blood cells with predominating lymphocytes and atypical lymphocytes, with slight thrombocytopenia. B. Peripheral blood smear (during shock stage with intractable bleeding on the first week of hospitalization) showing a decreased number of red blood cells with nucleated red blood cells, and a scanty number of platelets. C. Peripheral blood smear on the second week of hospitalization, showing microspherocytes, polychromasia of red blood cells with predominating polychromatosis, white blood cells, and platelets within normal reference ranges. D. Peripheral blood smear during recovery phase showing red blood cells, white blood cells, and platelets within normal reference ranges. All micrographs are shown with Wright–Giemsa staining (original magnification×1000). Scale bars indicate 10 μm.
A. Peripheral blood smear during febrile phase showing normochromic and normocytic red blood cells, white blood cells with predominating lymphocytes and atypical lymphocytes, with slight thrombocytopenia. B. Peripheral blood smear (during shock stage with intractable bleeding on the first week of hospitalization) showing a decreased number of red blood cells with nucleated red blood cells, and a scanty number of platelets. C. Peripheral blood smear on the second week of hospitalization, showing microspherocytes, polychromasia of red blood cells with predominating polychromatosis, white blood cells, and platelets within normal reference ranges. D. Peripheral blood smear during recovery phase showing red blood cells, white blood cells, and platelets within normal reference ranges. All micrographs are shown with Wright–Giemsa staining (original magnification×1000). Scale bars indicate 10 μm.

Progression of an autoimmune hemolytic anemia that developed during severe dengue infection

CharacteristicDay of hospitalization and follow-up
D1D3D5D7D9D11D13D21 (D/C)D30 (OPD)D90 (OPD)
Body temperature (°C)39.041.038.538.637.537.037.436.8NANA
Pulse pressure24225955555353415448
Bleeding site
Hemoptysis+++++
Ecchymosis++++++++
Hematuria++
CBC
Hemoglobin (g/dL)15.810.99.510.510.19.18.710.012.614.4
White blood cells count (cells/mm3)3,5003,6005,0004,7005,3004,5005,2004,2004,7006,000
Platelet count (cells/mm3)15,00013,00017,00087,0090,0099,00117,000190,000182,000165,000
LFT
AST (U/L)2,4767,425NA2,587NA386NA21565NA
ALT (U/L)1,2732,125NA1,072NA355NA218105NA
DCTNA+++
Medication
rVIIa1st time2nd time
Carbapenam+++++
Blood component transfusion
LPRC161
LPPC/SDP1/03/11/0
FFP3
Cryoprecipitate10
DOI: https://doi.org/10.1515/abm-2021-0006 | Journal eISSN: 1875-855X | Journal ISSN: 1905-7415
Language: English
Page range: 43 - 48
Published on: Feb 21, 2021
Published by: Chulalongkorn University
In partnership with: Paradigm Publishing Services
Publication frequency: 6 issues per year

© 2021 Supat Chamnanchanunt, Pravinwan Thungthong, Chajchawan Nakhakes, Putza Chonsawat, Tawatchai Suwanban, published by Chulalongkorn University
This work is licensed under the Creative Commons Attribution-NonCommercial-NoDerivatives 4.0 License.

Volume 15 (2021): Issue 1 (February 2021)