β-Catenin is defined primarily as an adhesion protein on the cell membrane. It is bound to the cytosolic tail of E-cadherin to mediate the zonula adherens junction by forming a link between cadherins and actin filaments. This junction provides an interface between two neighboring epithelial cells and participates in maintaining the epithelial cell layers, proliferation, and cell movement [1]. In addition to its adhesive role, β-catenin is also considered to play a key role in the Wnt/β-catenin signaling mechanism controlling cell proliferation, differentiation, and tissue homeostasis [2]. Aberrant activation of this signaling has been found associated with various cancers, such as colorectal, breast, and thyroid cancer, as well as with Alzheimer's disease, preeclampsia, and tetra amelia [3].
Subcellular localization of β-catenin has been used as a prognostic marker in several cancers including colorectal, thyroid, breast, and cervical cancer [3, 4, 5]. The expression of β-catenin in cells infected with human papillomavirus (HPV) is predominantly localized in the cytoplasm and in the nucleus; however, membranous positivity is more prominent in HPV-negative cells. Even though HPV is accepted as a major factor in the development of cervical cancer, abnormal activation of the Wnt/β-catenin signaling pathway has also been suggested [6, 7]. Decreased levels of β-catenin on the cell membrane may be related to cell migration and metastatic properties of cancerous cells and it is associated with poor prognosis for esophageal cancer [5]. Nuclear accumulation of β-catenin is also associated with worse survival outcomes and chemo-/radioresistance in cervical cancer [4].
The cervix is lined by nonkeratinized stratified squamous epithelium, which is affected by the levels of estrogen and progesterone [8]. The stratified squamous epithelium is separated from the lamina propria by the basement membrane. The cells that form the basal layer immediately above the basement membrane have a high mitotic activity and divide asymmetrically to form the parabasal cells. These cells also have limited mitotic activity. Further maturation of parabasal cells results in intermediate/navicular cell layers that contain high levels of glycogen. After maturation, superficial cell layers have flattened cells with small pyknotic nuclei. Thus, the nucleo–cytoplasmic ratio reduces from the basal to the superficial layers of the squamous epithelial tissue [9].
The maturation process of squamous epithelium of the cervix has not been fully understood. Only a few studies have been reported [10, 11]. These studies revealed that cell layers thicken as a result of hormonal status. The proliferation and differentiation of epithelial tissue is directly under the control of the hormones estrogen and progesterone [12, 13]. Stimulated by gradually increasing the amounts of estrogen in the follicular or proliferative phases of the menstrual cycle, epithelial cells proliferate and cornify. In the secretory/luteal phase, under the influence of progesterone, intermediate cells become more prominent [8]. The vaginal epithelium becomes atrophic in estrogen receptor 1 knock-out (Esr1KO) mice [12] and low-dose estradiol vaginal tablets have been used in the treatment of atrophic vaginitis [14]. These studies demonstrate that estrogen is especially important in the maturation of the epithelial tissue by regulating cell proliferation.
Estrogen and progesterone interact with their specific hormone receptors in the cytoplasm of epithelial cells to form a complex. This complex translocates to the nucleus and activates transcription of target genes that play essential roles in cell proliferation and differentiation [15, 16]. The role of β-catenin in the maturation process of the stratified squamous epithelium has not yet been fully elucidated.
β-Catenin has a dual-function in mediating cellular adhesion and in the Wnt/β-catenin signaling pathway. Within cells, β-catenin is localized in 3 different regions, namely, the membrane, the cytoplasm, and the nucleus [17]. Membranous β-catenin is a critical member of the adherens junction by forming the connections between E-cadherin and actin-filaments.
There are some studies of β-catenin expression during the menstrual cycle and all were performed on endometrial tissue. These studies found that β-Catenin displays a similar pattern of expression in both the proliferative and secretory phases of the menstrual cycle and there was no difference in the activity of Wnt/β-catenin signaling [18, 19]. Conversely, the expression of β-catenin was found to be prominent in the proliferative phase when compared with the secretory phase [20]. This apparent discrepancy remains contentious.
The present study aimed to determine the difference between proliferation and secretion phases of the menstrual cycle in terms of the Wnt/β-catenin signaling pathway activity in squamous epithelial cells by investigating β-catenin immunocytochemical reactivity in cervicovaginal smears during the course of regular menstrual cycles. This study infers the presence of cycle-dependent changes on the Wnt/β-catenin signaling pathway, which suggests a role for this pathway in the maturation of stratified squamous epithelium. Determining the normal pattern of the β-catenin expression during the various phases of the menstrual cycle is also important for biomarker studies of precancerous and cancerous cases because of the possible role of β-catenin in cancer progression.
This study was approved by the Hacettepe University ethics committee for clinical research (approval No. G18/915-34) and was conducted following the principles of the Declaration of Helsinki and its contemporary amendments. In this observational study, cervical smears were taken from 102 women who had presented to the Department of Obstetrics and Gynecology, Hacettepe University Hospital for various types of gynecological complaints (November 2018–April 2019). Written informed consent was obtained from all individual patient participants included in this study. All necessary data were obtained from the electronic registry of our institution. A questionnaire containing information on the age, menstruation date, time of the menstrual cycle, the regularity of menstruation, gravida, and clinical symptoms was administered. Women with atypical changes, infections, and irregular menstrual cycles, in menopause or in a postpartum period were excluded from the present study (n = 40). Only smears from women with a regular menstrual cycle were evaluated (n = 62) for the present study. Proliferative and secretory phases were distinguished further by cytology using Karyopyknotic Index estimations [21].
Cervicovaginal samples were obtained from women and stained using the Papanicolaou method with minor modifications [22]. Then, stained slides were evaluated under a light microscope (Leica, DM 4000B) with regard to the cytological changes, such as infections or abnormal epithelial cells.
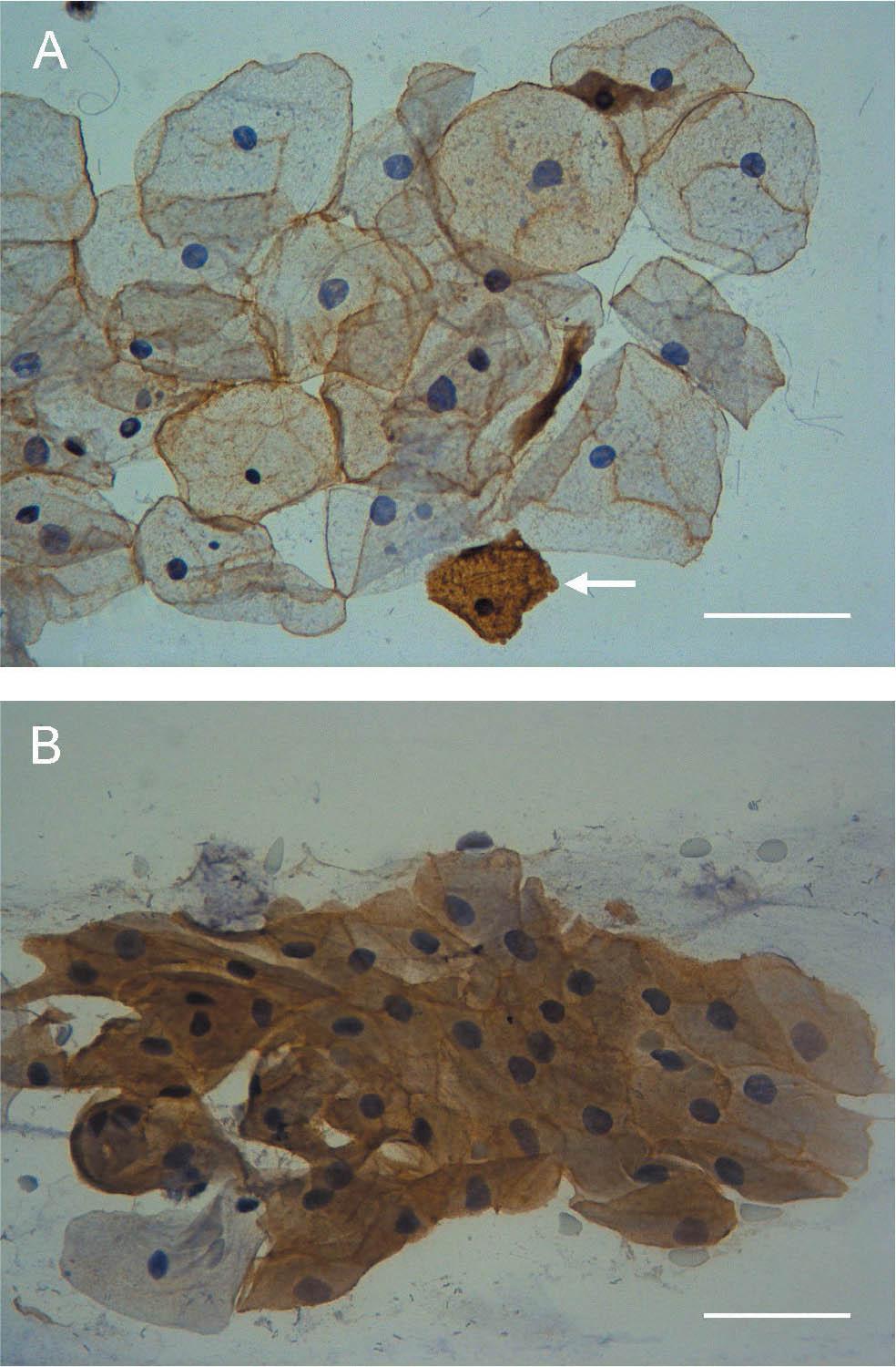
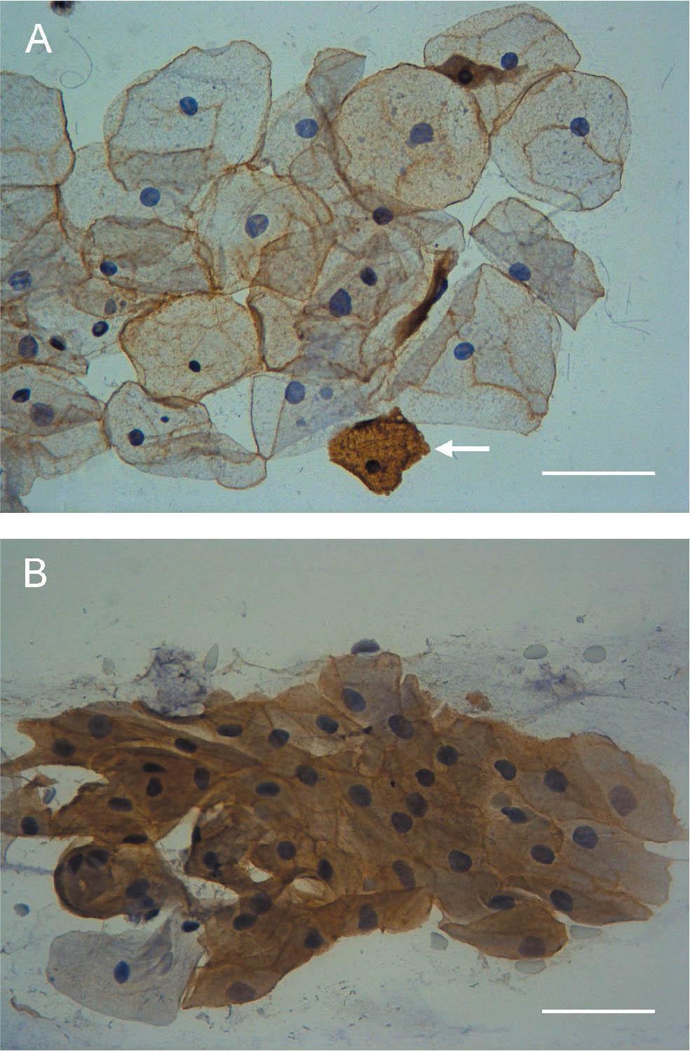
The streptavidin–biotin method by using a Vectastain Elite Universal ABC kit (Vector Laboratories) was used for immunocytochemical staining [23]. Nonspecific binding sites in ethanol-fixed samples were quenched with 0.03% H2O2, normal horse serum, and using an Avidin D–Biotin blocking kit (Vector Laboratories). Subsequently, rabbit monoclonal XP β-catenin (1:100 dilution, Cell Signaling Technology; Clone ID: D10A8, cat. No. 8480S; Research Resource Identifier (RRID): AB_11127855) was used as the primary antibody. 3,3′-Diaminobenzidine (Vector Laboratories) was the chromogen and the samples were counterstained with Harris’ hematoxylin (Merck). Positive (HeLa cells; Figure 1A) and negative controls (without using primary antibody; Figure 1B) were used.
Figure 1
Immunocytochemical staining for β-catenin. A. Positive control, HeLa cells. Immunoreactivity for β-catenin is indicated by the dark-brown staining from oxidized diaminobenzidine chromogen used in the streptavidin–biotin method. The counterstain is Harris’ hematoxylin (magnification ×200, scale bar 200 μm, Olympus IX70 inverted microscope equipped with an Olympus DP71 digital camera). B. Negative control, cervicovaginal smear, without primary antibody. Only the Harris’ hematoxylin counterstain is seen (magnification ×400, scale bar 50 μm, Leica DM 4000B microscope equipped with a Leica DFC 370 digital camera).

A blinded evaluation (without the knowledge of the case) was conducted using a procedure described previously [23]. H-score was used to quantify the immunocytochemical staining results [24]. Staining intensity was also evaluated for each cell type, namely superficial, intermediate, and parabasal cells. Next, H-scores were calculated using a formula described in the literature [23, 24].
IBM Statistics for Windows (version 23) was used to analyze data. The primary outcome of this study was to understand whether or not there is a difference between proliferation and secretion phases of the menstrual cycle in terms of the Wnt/β-catenin signaling pathway activity. To compare the signaling activity between menstrual cycle periods (proliferation and secretion), a Yates χ2 test was used. A Shapiro–Wilk test was conducted to analyze the normality of H-scores. To compare the means of H-scores, a nonparametric Mann–Whitney U test was used, because the H-scores were not normally distributed (P < 0.001). A sample size of 62 patient participants as used in the present study has a theoretical 88.2% power to compare menstrual phases (proliferative and section phases) in terms of the activity of Wnt/β-catenin signaling pathway (G*Power version 3.1.9.2). P < 0.05 was considered significant.
The median age of the patients ranged between 19 and 70 years (41.3 ± 11.27 y). No participants had missing data for any variable of interest. Women in menopause, postpartum phase, or having irregular menstrual cycles were excluded from the present study (n = 18). Another 22 women with abnormal epithelial cells or various infections, such as bacterial vaginosis or fungal infections, were also excluded. Only women with regular menstrual cycles were included in the present study (n = 62). The women included were divided into 2 groups, namely those in the proliferative phase (26/62, 42%) and those in the secretory phase (36/62, 58%).
The expression of β-catenin was assessed immunocytochemically using 2 different approaches. (1) Expression of membranous, cytoplasmic, and nuclear β-catenin immunoreactivity in all epithelial cells was evaluated to demonstrate the effects of cyclic changes on the activity of Wnt/β-catenin signaling. (2) The presence of β-catenin immunoreactivity was assessed in superficial, intermediate, and parabasal cells sequentially, in an effort to understand better the effects of cyclic changes in β-catenin expression from basal to superficial layers (Figures 2A, B and 3A–D).
Figure 2
Wnt/β-catenin signaling pathway activity is suggested by immunoreactivity for β-catenin is indicated by the dark-brown staining from oxidized diaminobenzidine chromogen used in the streptavidin–biotin method. Harris’ hematoxylin counterstaining. A. Membranous and cytoplasmic immunoreactivity for β-catenin is depicted in the proliferative phase with the superficial cells being more prominent than intermediate cells. Activated Wnt/β-catenin signaling pathway is also seen in one superficial cell (arrow), which displays strong (+++) cytoplasmic immunoreactivity. B. Membranous and cytoplasmic immunoreactivity for β-catenin as seen in the secretory phase with the intermediate cells being more prominent than superficial cells. An activated Wnt/β-catenin signaling pathway is also observed in almost all intermediate cells (magnification ×400, scale bars 50 μm, Leica DM 4000B microscope equipped with a Leica DFC 370 digital camera).

Figure 3
Comparison of immunocytochemical staining patterns between superficial, intermediate, and parabasal cells. Immunoreactivity for β-catenin is indicated by the dark-brown staining from oxidized diaminobenzidine chromogen used in the streptavidin–biotin method. Harris’ hematoxylin counterstaining. A. One of the two neighboring superficial cells show cytoplasmic immunoreactivity (arrow) and that Wnt/β-catenin signaling pathway is activated; however, the other cell is entirely unreactive. B. Membranous immunoreactivity is stronger in the intermediate cells than in the superficial cells. C. Strong cytoplasmic positivity and activated signaling are seen in an intermediate cell. D. Parabasal cells show stronger membranous and cytoplasmic immunoreactivity than superficial and intermediate cells (magnification ×1000), (scale bars 20 μm, Leica DM 4000B microscope equipped with a Leica DFC 370 digital camera).

Immunoreactivity H-scores were examined using a Shapiro–Wilk normality test. The mean H-scores of membranous, cytoplasmic, and nuclear β-catenin were not distributed normally (P < 0.001 for all).
Compared with the secretory phase, the mean H-scores for β-catenin in the proliferative phase were significantly increased in the membrane (P = 0.039), the cytoplasm (P < 0.001), and the nucleus (P = 0.033; Figure 4 and Table 1). By contrast, β-catenin expression was reduced in cells from parabasal to superficial layers.
Figure 4
β-Catenin expression was reduced from parabasal to superficial layers in both the proliferative and secretory phases. H-scores were not normally distributed in all groups; thus, standard deviation (SD) was high (error bars indicate SD).

Comparing parameters in the menstrual cycle proliferative and secretory periods
| Wnt/β-catenin signaling activity§ | Proliferative period n (%) | Secretory period n (%) | P |
|---|---|---|---|
| Active (n = 28) | 19 (73) | 9 (25) | <0.001*† |
| Inactive (n = 34) | 7 (27) | 27 (75) | |
| Total (n = 62) | 26 (100) | 36 (100) | |
| Cellular localization of immunoreactivity | Mean ± SD|| | Mean ± SD|| | |
| Membranous β-catenin | 32.29 ± 34.4 | 18.89 ± 29.7 | 0.039*‡ |
| Cytoplasmic β-catenin | 9.33 ± 12.75 | 2.62 ± 7.31 | <0.001**‡ |
| Nuclear β-catenin | 1.07 ± 3.68 | 0.13 ± 0.80 | 0.033*‡ |
Yates continuity correction.
Mann–Whitney U test.
β-Catenin immunoreactivity.
Mean H-scores for squamous epithelial cells including superficial, intermediate, and parabasal cells together.
P < 0.05.
P < 0.001.
SD, standard deviation.
Cytoplasmic and/or nuclear expression of β-catenin immunoreactivity indicates the activity of Wnt/β-catenin signaling. There was a significant (P < 0.001) increase in signaling activity in the proliferative phase (19/26, 73%) compared with the secretory phase (9/36, 25%; Table 1).
The mean H-scores of membranous β-catenin (including all squamous epithelial cells) were found to be significantly higher in the proliferative phase than in the secretory phase (Table 1). To our knowledge, there are no previous reports to clarify this occurrence in the human cervix or vagina; however, it has been reported that 17β-estradiol (E2) disrupts the adherens junctions in endothelial cells to increase the cellular permeability in uterine human microvascular endothelial cells [25]. By contrast, E2 also induces maturation and the thickening of the vaginal epithelium and decrease in the levels of E2 is associated with a reduction in the epithelial cell generation in the mouse vagina [13]. Thus, E2 associated cellular proliferation and maturation induces the adherens junction to keep cells together to maintain epithelial tissue integrity.
We have demonstrated that β-catenin expression was reduced from parabasal layers to superficial layers both in proliferative and secretory phases. This result can be interpreted in various ways. First, we believe that a gradual decrease in membranous β-catenin immunoreactivity throughout the epithelial cell layers indicates the weakening of the adherens junction. This weakening may cause epithelial cells to separate more easily from each other in the upper part of the epithelial tissue and cause the shedding of superficial cells from the epithelial surface becomes easy. Second, cytoplasmic and nuclear β-catenin immunoreactivity decreased reflecting the expression of the protein from parabasal cells to superficial cells (Figure 4). Parabasal cells have limited mitotic activity and the Wnt/β-catenin signaling activation is recognized as being directly related to cell proliferation [25]. The proliferative role of this signaling would explain the stronger immunoreactivity in the parabasal cells and weaker β-catenin immunoreactivity in the superficial cells. Similar to our observation, β-catenin positivity was found to be reduced from the basal to superficial cell layers in cervical biopsy samples and oral mucosa [26, 27]. Finally, we hypothesize that the increasing level of β-catenin in parabasal cells compared with superficial cells could be related to activity of the Wnt/β-catenin signaling pathway. The mechanism is not yet fully understood. According to Cox et al., β-catenin accumulates in the cytoplasm postsaturation of the binding of E-cadherin to β-catenin. Then, after reaching a certain level in the cytoplasm, β-catenin translocates to the nucleus [28]. By contrast, Chen et al. stated that Wnt/β-catenin signaling activity would not affect the membranous β-catenin [29].
Previous studies showed that the cytoplasmic and/or nuclear stabilization of β-catenin correlates with the transcription of the genes downstream in the Wnt/β-catenin signaling pathway [30]. Consistent with these reports, cytoplasmic and/or nuclear immunoreactivity of β-catenin to analyze the activation of Wnt/β-catenin signaling was evaluated. Wnt/β-catenin signaling was active in 19 of 26 (73%) cases in the proliferative phase and our data demonstrates a significant association between the proliferative phase and activity of the Wnt/β-catenin signaling pathway.
In the present study, nuclear staining was lower than all other compartments probably because we examined only benign epithelial cells (Table 1). β-Catenin staining was detected prominently in the membrane and the cytoplasm of the basal layer and suprabasal layer in the benign uterine cervix. However, increased nuclear expression of β-catenin has been used as a prognostic marker for the early stage of cervical cancer, poor prognosis, well or moderately differentiated tumors, and lymph node metastasis as well as chemo-/radioresistance [4, 5, 7, 24]. Although cytoplasmic accumulation of β-catenin indicates activity of the Wnt/βcatenin signaling pathway, increased nuclear β-catenin should be taken into consideration for potential prognostic value. Thus, determining the normal behavior of Wnt/β-catenin activity during the different phases of the menstrual cycle might give us information about the cutoff level for further quantitative investigations in abnormal epithelial cells.
Effects of cyclical changes on the activity of the Wnt/βcatenin signaling pathway have been studied especially in endometrial biopsies. Tulac et al. could not find any significant difference between the proliferative and secretory phases in terms of signaling activity [18]. However, similar to our present findings, Nei et al. showed that 12 of 15 (80%) patients in the proliferative phase had activated Wnt/β-catenin signaling in the endometrium [31]. Our present study suggested that the cyclic changes of estrogen affect the activity of the signaling pathway in stratified squamous epithelial cells in the cervix.
Effects of estrogen and progesterone on the activity of Wnt/β-catenin signaling have been reported. The first direct evidence of the cross-talk between Wnt and estrogen signaling pathways was found in Drosophila melanogaster where there was an interaction between β-catenin and estrogen receptor-α [32]. To our knowledge, there is no previous evidence for this in the human cervix or vagina. However, Liedert et al. reported that activation of estrogen signaling and Wnt/β-catenin signaling was independent; nevertheless, these signaling pathways work in concert to regulate cellular proliferation in the endometrium [33]. Along with estrogen, progesterone inhibits the activity of Wnt/β-catenin signaling by inducing negative regulators of signaling in the endometrium [19]. These findings suggest that estrogen, progesterone, and the Wnt/β-catenin signaling pathways are closely engaged in controlling cell proliferation and differentiation in epithelial tissue.
To our knowledge, this is the first study to evaluate the effect of menstrual cyclic changes on the cytochemical expression of β-catenin in human cervicovaginal smears. The relatively small number of cases and the lack of serum level data are major limitations of the present study. Nevertheless, because of the importance of the Wnt/β-catenin signaling pathway in cancer prognosis and progression, we believe that the present study determining the normal behavior of Wnt/β-catenin activity during the different phases of the menstrual cycle will yield valuable insights for biomarker studies in precancerous/cancerous cases.
Cytoplasmic and/or nuclear β-catenin immunoreactivity may indicate activity of Wnt/β-catenin signaling and was found to be cycle-dependent. The presence of menstrual cycle-dependent changes in the Wnt/β-catenin signaling activity suggests a role for this signaling in maturation of stratified squamous epithelium.