Diabetes mellitus (DM) is a metabolic disease resulting from impaired metabolism of carbohydrates, lipids, and proteins. DM can be categorized into 2 major types; type 1 DM (insulin dependent) and type 2 DM (not insulin dependent). The main causes of this disease are a lack of either insulin production or response to insulin, or both, leading to chronic hyperglycemia [1]. Long-lasting hyperglycemia can cause diabetic complications such as vascular disease, diabetic retinopathy, diabetic nephropathy, diabetic neuropathy, and sexual dysfunction [2, 3]. Hyperglycemia can generate oxidative stress and reactive oxygen species (ROS) by several pathways [2, 4]. Oxidative stress and ROS from these
pathways are associated with male infertility. Oxidative stress can induce a decrease in testosterone levels, changes in seminiferous tubule structure, and spermatogenesis failure [5, 6, 7, 8]. High ROS concentration in semen has been demonstrated in 30%–40% of male infertility [9].
Moreover, there have been reports on changes in sperm morphology including the acrosome, nucleus, mitochondria, and plasma membrane in patients with type 1 DM [10]. Similarly, in animal models of DM, significant decreases in sperm motility, viability, count, and testosterone levels have been shown [11, 12, 13].
Streptozotocin (STZ) is a glucose analog produced by Streptomyces achromogenes that is selective for glucose transporter 2 (GLUT2), which is expressed in pancreatic β-cells, hepatocytes, and renal tubules. STZ induces DNA alkylation and produces ROS, which can lead to pancreatic β-cell death and impair insulin production. Therefore, STZ has been used to induce type 1 DM in rat models of DM. The present study was designed to investigate sperm quality and morphological changes in seminiferous tubules and their stage of development in a rat model of type 1 DM induced by STZ [14, 15].
We studied 15 male Sprague Dawley rats from the age of 8 weeks, weighing 250–320 g, in compliance with The Animals for Scientific Purposes Act, BE 2558 (AD 2015) (Thai Government Gazette, Vol. 132, Part 18 a, 13th March 2015) under license after approval by the Center for Animal Research Naresuan University, Phitsanulok, Thailand (approval No. 58 01 002) and in conformance with the revised Institute of Laboratory Animal Resources, Commission on Life Sciences, National Research Council “Guide for the Care and Use of Laboratory Animals” Washington, D.C.: National Academy Press; 1996. All rats were maintained at a constant temperature of 22 ± 1°C under dark light cycle of 12:12 h and allowed access to standard laboratory food and water ad libitum. Rats were divided into 2 groups in an unselected manner to include a vehicle control group treated with 0.1 M citrate buffer, pH 5 (control; n = 8) and a group with STZ-induced type 1 diabetes (DM; n = 7). After fasting for 8 h, rats intended for the DM group were injected intraperitoneally with a single dose of STZ (Sigma) 60 mg/kg in 0.1 M citrate buffer, pH 4.5, and were subsequently found to have a fasting blood glucose level of ≥250 mg/dL and used for the study as a model of DM. At 7–12 weeks after inducing DM, rats were humanely killed by carbon dioxide gas inhalation.
The testis and epididymis were removed immediately after death. Sperm from the cauda epididymis were mixed in prewarmed phosphate-buffered saline (PBS), and sperm motility was determined using a Makler counting chamber [16, 17]. The sperm sample was fixed in 10% neutral-buffered formalin, and sperm concentration was determined using hemocytometer under a light microscope (400× magnification). Subsequently, the percentage of normal spermatozoa was calculated from a total of 200 spermatozoa under a light microscope after staining with eosin [17, 18, 19, 20].
Rats were weighed to determine their body weight. After death, their testes were removed and weighed to calculate the testicular weight as a percentage of body weight. Then, testicular tissue was fixed in 10% neutral-buffered formalin. The tissue was embedded in paraffin wax and sectioned at a thickness of 5 μm. All sections were stained with hematoxylin and eosin (HE) and the diameter of seminiferous tubules measured in 4 arbitrary areas of tubules measured using ImageJ software (version 1.46r; U.S. National Institutes of Health). Then, 2 sections per rat were examined for normal morphology and morphological changes of seminiferous tubules including separation of the germinal epithelium, vacuolization, luminal sloughing of germ cells, irregular tube, and atrophy of the tubules. The morphological changes were calculated as percentages of morphological change in seminiferous tubules per total tubules [17]. Then, 2 sections per rat were examined to determine the developmental stage of the seminiferous epithelium [21, 22].
Data were analyzed using SPSS Statistics for Windows (version 17.0) by independent sample t tests and are expressed as mean ± standard error of the mean (SEM). Differences between data were considered significant when the results of the t tests were at P < 0.05.
The sperm motility, normal morphology, and concentration in rats in the DM group were significantly decreased when compared with that of rats in the vehicle control group (Figure 1).

Sperm quality parameters in rats in the group with streptozotocin-induced diabetes mellitus (gray bars) compared with those in vehicle treated rats in the control group (unfilled bars). (A) Percentage of sperm motility. (B) Percentage of normal sperm morphology. (C) Sperm concentration. Bars represent mean percentages or concentrations, and error bars represent standard error of the mean; t test ***P< 0.001
A significant reduction in the body weight and testicular weight was found in rats in the DM group, while the testicular weight percentage of body weight was significantly increased in rats in the DM group (Table 1).
Body weight, testicular weight, and the testicular weight percentage of body weight in rats in rats in the group with streptozotocin-induced diabetes mellitus and in the vehicle treated control group
| Control group | Diabetic group | P | |
|---|---|---|---|
| (n = 8) | (n = 7) | ||
| Body weight (g) | 453 ± 5.6 | 268 ± 18.8*** | <0.001 |
| Testis weight (g) | 2.1 ± 0.01 | 1.8 ± 0.10* | 0.02 |
| Testicular %body weight weight as | 0.45 ± 0.01 | 0.68 ± 0.05** | 0.003 |
Values are reported as mean ± SEM. t test *P< 0.05; **P< 0.01; ***P< 0.001 Diabetic, diabetes mellitus; SEM, standard error of the mean
The diameter of seminiferous tubules was significantly decreased in rats in the DM group (Figure 2).

The diameter of seminiferous tubules in rats with streptozotocin-induced diabetes mellitus (gray bars) compared with that in vehicle treated rats in the control group (unfilled bars). Bars represent mean diameters, and error bars represent standard error of the mean; t test *P< 0.05
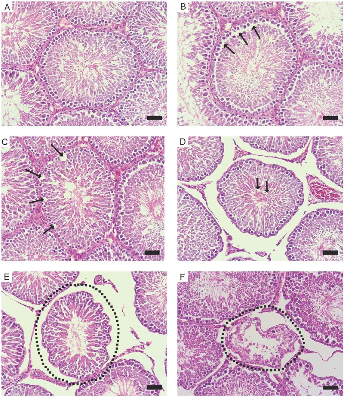
We observed morphological changes in seminiferous tubules from the appearance of the tubules in vehicle-treated control rats (Figure 3A) including separation of the germinal epithelium, vacuolization, luminal sloughing of germ cells, irregular tube, and atrophy in rats in the DM group (Figure 3B–F).

Seminiferous tubule morphology. (A) Normal morphology in vehicle-treated rats. Changes in morphology in rats with streptozotocin- induced diabetes mellitus (B) separation of the germinal epithelium (arrows), (C) vacuolization (arrows), (D) luminal sloughing of germ cells (arrows), (E) irregular tube (dashed circle), and (F) atrophy (dashed circle). Scale bars represent 50 μm (magnification 200×)
Significant increases in the separation of germinal epithelium, vacuolization, luminal sloughing of germ cells, and atrophy of seminiferous tubules were found in rats in the DM group when the percentages of these morphological abnormalities were compared quantitatively with those in vehicle treated rats in the control group (Figure 4).

Morphological changes of seminiferous tubules in rats with streptozotocin-induced diabetes mellitus (gray bars) compared with those in vehicle-treated rats in the control group (unfilled bars). Bars represent mean percentages of abnormalities, and error bars represent standard error of the mean. t test #P< 0.1; *P< 0.05; **P< 0.01; ***P< 0.001
The mean proportion of early stage (stage I–V) seminiferous tubules was significantly increased in rats in the DM group when compared with the proportion in rats in the vehicle control group. By contrast, significant decreases in the mean proportion of late stage (stage IX–XIV) tubules were seen in rats in the DM group (Figure 5).

Proportion of seminiferous tubules at various stages of development in rats with streptozotocin-induced diabetes mellitus (gray bars) compared with that in vehicle-treated rats in the control group (unfilled bars). Bars represent mean percentages at the various stages, and error bars represent standard error of the mean. t test ***P< 0.001
After induction of DM with STZ, the resulting rats with type 1 DM showed abnormal sperm quality including decreases in sperm motility, concentration, and normal morphology. These findings are consistent with those in previous studies of sperm quality affected by DM [11, 13, 23]. The decrease in sperm quality may be associated with hyperglycemia resulting in hyperactive oxidative stress. The plasma membrane of sperm containing high levels of polyunsaturated fatty acids and lacking anti-ROS enzymes may result in elimination of nuclear and mitochondrial DNA in sperm as a consequence of lipid peroxidation, which is implicated in sperm defects and apoptosis [24, 25].
The morphological changes of seminiferous tubules in rats with DM observed in the present study including separation of the germinal epithelium, vacuolization, luminal sloughing of germ cells, and atrophy of seminiferous tubules and may also result from hyperglycemia leading to high production of ROS. Oxidative stress has been reported to induce Leydig cell dysfunction and result in a testosterone deficiency, which plays an important role in spermatogenesis. Our present findings are consistent with those of previous studies, which found that DM induced the atrophy of seminiferous tubules by decreasing the number of spermatogenic cells [7, 8, 26].
In the present study, a decrease in testicular diameter and testicular weight was observed in association with an increase in the atrophy of tubules in the rats in the DM group, which is consistent with findings reported previously [27, 28]. These decreases may be due to a decrease in testosterone levels leading to degeneration of the Sertoli–Sertoli cell junction, which is implicated in structural changes of seminiferous tubules [29, 30].
The significant decrease in the proportion of late stage (stage IX–XIV) seminiferous tubules in rats in the DM group may reflect an arrested period of development causing impairment of spermatogenesis. This decrease may be due to decreases in testosterone levels, dysfunction of Leydig cells, changes in structure and function of Sertoli cells, or atrophy of the seminiferous tubules [17, 29]. The significant increase in the proportion of early stage tubules in rats in the DM group may also reflect nonprogressive development of the tubules due to an impairment of testosterone production from Leydig cells or changes in the structure and function of Sertoli cells.
The results of the present study are limited to type I DM, which involves impairment of insulin production. Altered fat metabolism with impaired insulin production occurs in type II DM. We cannot extrapolate the results to type II DM because we did not modify any parameters related to fat metabolism. The pathology of type II DM needs to be further elucidated. The numbers of rats in each group were not equal due to inclusion criteria for the rat model of diabetes. Nevertheless, the numbers were suitable for statistical analysis.
We reduced the number of rats used in biomedical research by using testis and epididymis from rats used for another study “Development of topical cream containing long peper extract loaded solid lipid microparticles on nerve pain relief in of rat model of diabetic neuropathy”. Thus, by this dual-purpose subproject arrangement tissues and organs were collected for further studies such as of the histopathology reported here.
The present findings support previous evidence that DM has adverse effects on sperm quality, structural changes in testis, and seminiferous tubules, as well as changes in the development of seminiferous tubules during spermatogenesis. These changes may be caused by high production of ROS induced by hyperglycemia in the rat model of type 1 DM leading to impaired function of all structures involved in sperm production and development. Our findings may be beneficial for a greater awareness of the adverse effects of DM on reproductive function or for use as a model for the development of new therapeutic treatments for DM.